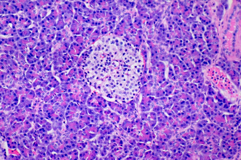
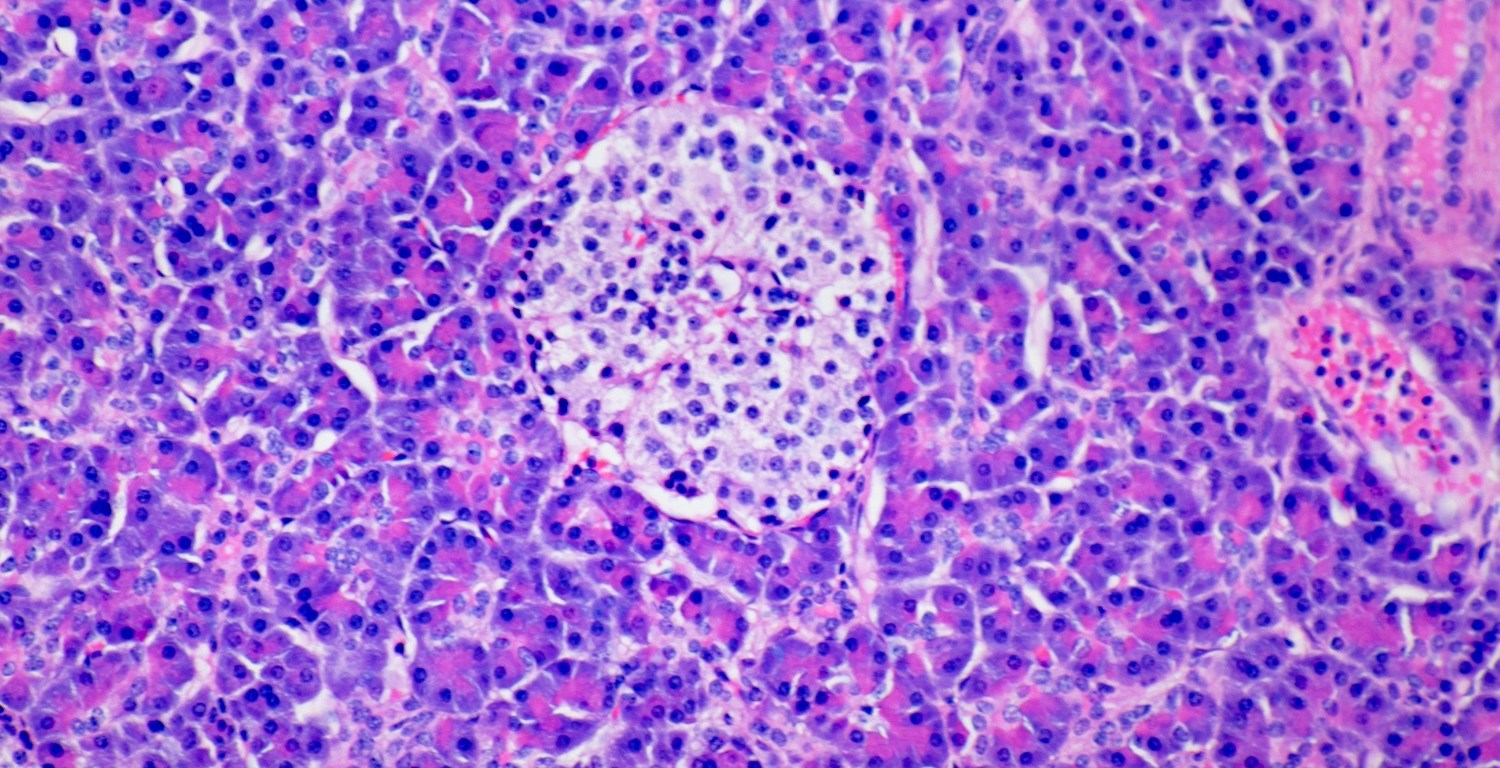
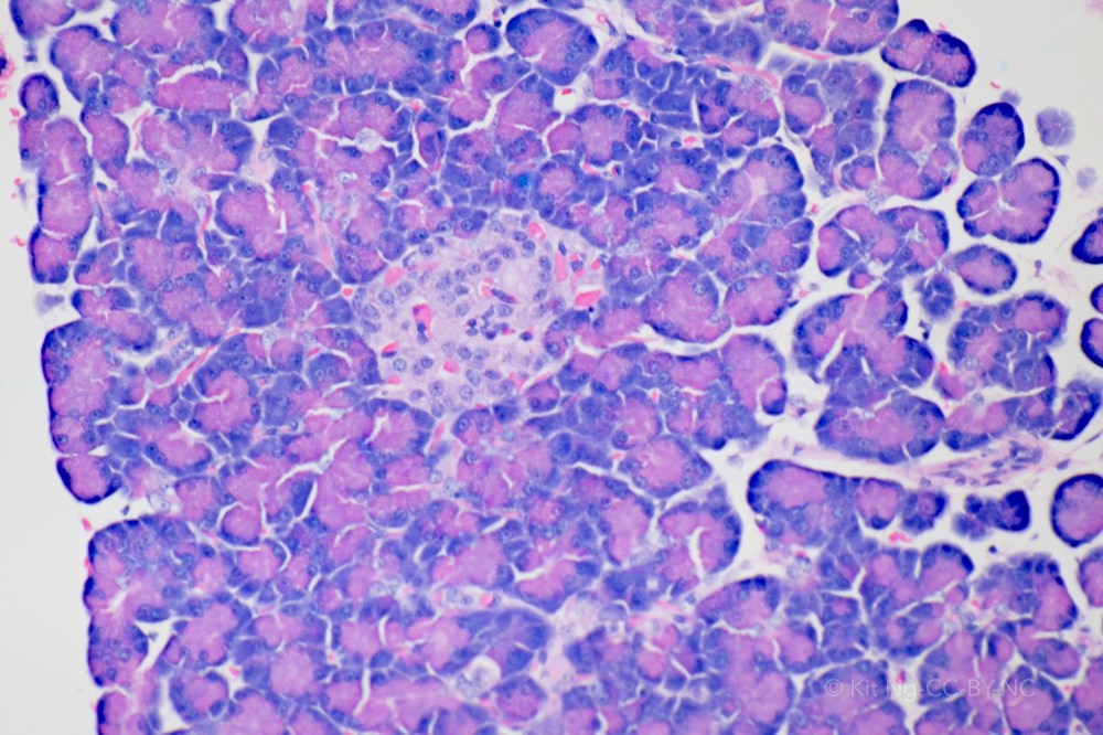
The pancreas is a retroperitoneal organ located behind the stomach. The organ is organized into lobes. The relationship between the pancreas and other organs can be viewed in the model here. Microscopically the organ has two parts – the endocrine part consists of the Islets of Langerhans, and the exocrine part consists of the acini.
The Islets of Langerhans are composed of three types of cells: Alpha, Beta, and Delta. These cells produce glucagon, insulin, and somatostatin, respectively. These are hormones that are released into the bloodstream.

The Acini portion produces the precursor to digestive enzymes (Zymogens) for the chemical digestion of nutrients. These enzymes include proteases, pancreatic amylase, lipase, and nuclease. These enzymes are mixed with the bicarbonate fluid produced by the ducts and collectively known as pancreatic juice. This pancreatic juice is secreted into the major and accessory pancreatic ducts. In particular, the major pancreatic duct (Duct of Wirsung) joins with the common bile duct at the hepatopancreatic ampulla (Ampulla of Vater). This ampulla is located at the major duodenal papilla in the duodenum. The release of the mixture is controlled by the hepatopancreatic sphincter (Sphincter of Oddi) that is regulated by the hormone Cholecystokinin to aid in the chemical digestion in the small intestine.
Lastly, the accessory pancreatic duct (Duct of Santorini) is found in some individuals. This duct either drains into the duodenum via the minor duodenal papilla or into the major pancreatic duct.

