Skip to content

Kit Ng, Ph.D.

Anatomy & Physiology Professor

  • Education
  • Publications
  • Classes Taught
  • Presentations
  • Miscellaneous
  • Contact
  • CV, Syllabi, Slides
  • Microscope Images
  • Anatomical Models
  • Summary Diagrams
  • Teaching Reflection
  • Birdwatching
  • Stargazing

Month: February 2017

ImagesLeave a comment

Atypical vertebrae: C1 and C2

February 25, 2017 Kit Ng

There are two atypical vertebrae in the cervical region: C1 (Atlas) and C2 (Axis). C1 is named Atlas after the greek god who hold up the heavens.  On its superior surface it has two superior articular facets that articulate with the occipital … Continue reading Atypical vertebrae: C1 and C2

ImagesLeave a comment

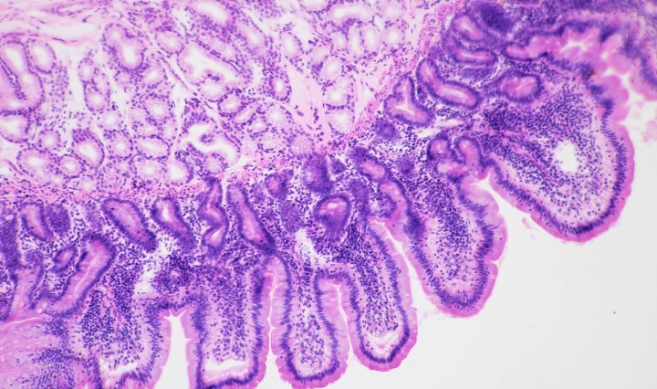
Jejunum and ileum

February 25, 2017 Kit Ng

Jejunum and ileum comprises the distal portion of the small intestine after the duodenum.    Though the basic layers (mucosa, submucosa, muscular is propria and adventia/serosa) remain the same and the mucosa also form villi, there are a few structural … Continue reading Jejunum and ileum

ImagesLeave a comment

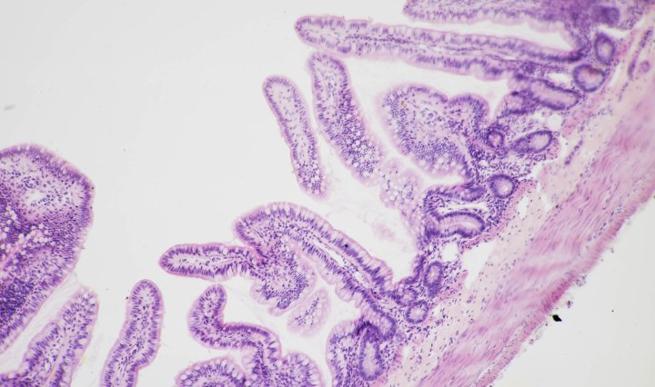
Duodenum

February 25, 2017 Kit Ng

Duodenum is the most proximal portion of the small intestine to the stomach.  The mucosa of the duodenum form villi that increases the surface area for absorption.  Most unique to the duodenum are the presence of Brunner’s glands in the submucosa … Continue reading Duodenum

ImagesLeave a comment

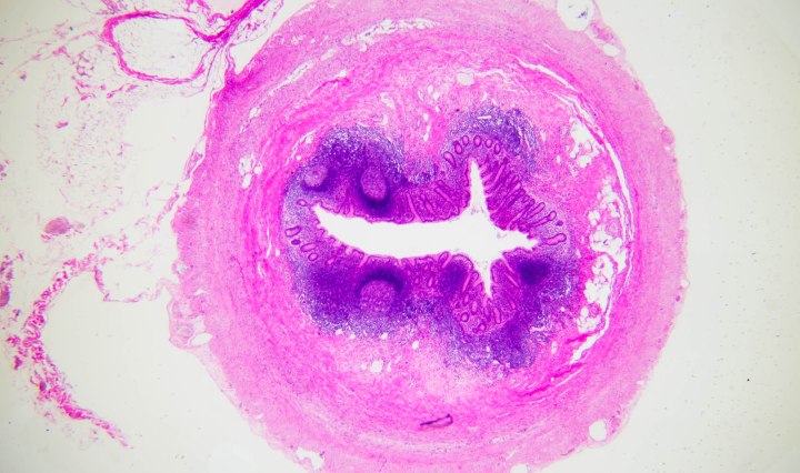
Appendix

February 25, 2017 Kit Ng

Appendix is a small sac extending from the cecum right off the ileocecal valve.  One proposed function of the appendix is that it helps maintain a healthy gut microflora by replenishing the gut with pro-health strains that reside in the appendix. Continue reading Appendix

ImagesLeave a comment

Spina bifida occulta

February 25, 2017February 25, 2017 Kit Ng

Specimen demonstrating incomplete fusion of the sacrum (notice the S1 region).  This was most likely from an individual who was asymptomatic or had mild symptoms.  This form of spina bifida is known as spina bifida occulta. Continue reading Spina bifida occulta

Recent Posts

  • Gout Crystals in Human Skin
  • Large Intestine
  • Fallopian Tube
  • Corpus Albicans
  • Corpus Luteum

Archives

  • February 2025
  • June 2023
  • October 2022
  • August 2022
  • April 2021
  • February 2021
  • January 2021
  • December 2020
  • November 2020
  • March 2020
  • February 2020
  • November 2018
  • October 2018
  • September 2018
  • June 2018
  • March 2017
  • February 2017
  • December 2016
  • October 2016
  • September 2016
  • August 2016
  • July 2016
  • April 2016
  • January 2016
Blog at WordPress.com.
  • Subscribe Subscribed
    • Kit Ng, Ph.D.
    • Already have a WordPress.com account? Log in now.
    • Kit Ng, Ph.D.
    • Subscribe Subscribed
    • Sign up
    • Log in
    • Report this content
    • View site in Reader
    • Manage subscriptions
    • Collapse this bar