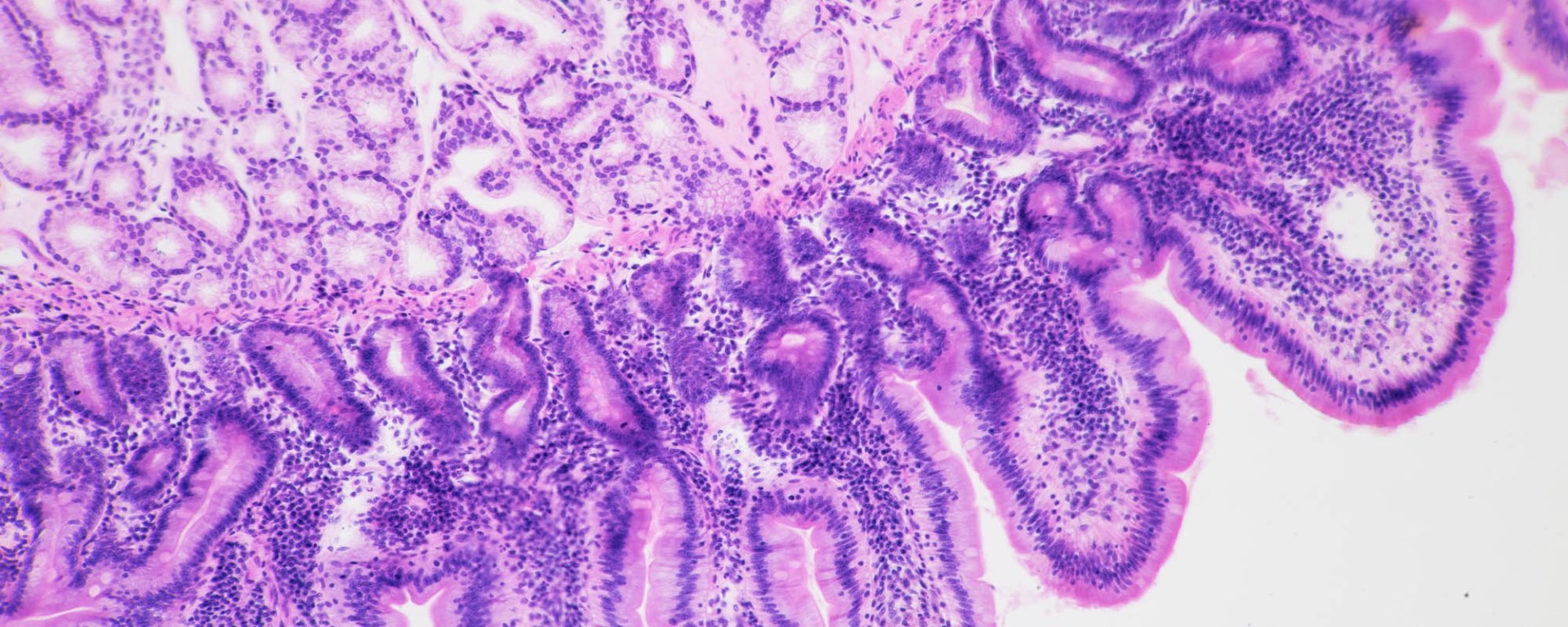
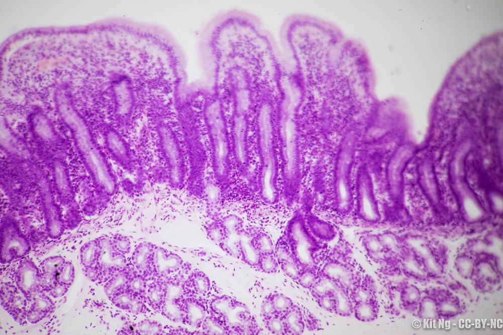
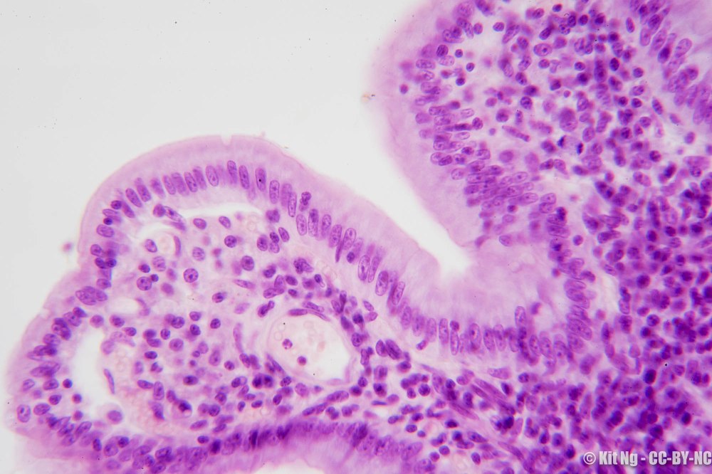
Duodenum is the most proximal portion of the small intestine to the stomach. The mucosa of the duodenum form villi that increases the surface area for absorption. Most unique to the duodenum are the presence of Brunner’s glands in the submucosa that produce and secrete an alkaline-rich mucus to neutralize stomach acid for the digestive enzymes to be functional.


