Skip to content

Kit Ng, Ph.D.

Anatomy & Physiology Professor

  • Education
  • Publications
  • Classes Taught
  • Presentations
  • Miscellaneous
  • Contact
  • CV, Syllabi, Slides
  • Microscope Images
  • Anatomical Models
  • Summary Diagrams
  • Teaching Reflection
  • Birdwatching
  • Stargazing

Month: March 2017

ImagesLeave a comment

Anatomical Models

March 15, 2017January 10, 2021 Kit Ng

(Last Updated: 10-02-2018) Here are some relevant X-ray images, non-microscope images and models. Bone Models: Bones – General Bone, l.s. Compact bone model showing osteons Nutrient foramen Bones – Axial Atypical vertebra: L5 Atypical vertebrae: C1 and C2 Cervical vertebra … Continue reading Anatomical Models

ImagesLeave a comment

Muscle models of the lower limb

March 15, 2017March 15, 2017 Kit Ng

(Last updated: 3-15-2017) Most pictures on this page contain a link in the caption to the annotated version of the same model. Continue reading Muscle models of the lower limb

ImagesLeave a comment

Sheep Brain

March 15, 2017March 15, 2017 Kit Ng

(Last updated: 3-15-2017) This page will be updated with more pictures.  Most pictures in this page contain a link in the caption to the annotated version of the same picture. Continue reading Sheep Brain

ImagesLeave a comment

Skin Model

March 9, 2017March 9, 2017 Kit Ng

Below is a typical model of skin.  Key to this figure is below. Key to the model: A – Epidermis B – Reticular dermis C – Hypodermis / subcutaneous fat / superficial fascia D – Arrector pili E – Sebaceous/oil … Continue reading Skin Model

ImagesLeave a comment

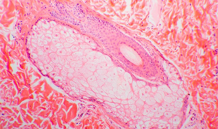
Sebaceous/Oil gland

March 9, 2017 Kit Ng

Sebaceous (oil) gland is a type of gland that is found in the dermis and associated with the hair follicle.  It is a type of holocrine secretion, in which cells of the gland degenerate and release the content, known as … Continue reading Sebaceous/Oil gland

ImagesLeave a comment

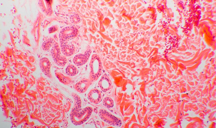
Eccrine sweat gland

March 9, 2017March 9, 2017 Kit Ng

Eccrine sweat glands are the more common type of sweat glands and they can be found everywhere but predominantly on palms and soles.  They are composed of both simple and stratified cuboidal epithelial cells.  These glands secrete sweat that contains … Continue reading Eccrine sweat gland

Recent Posts

  • Gout Crystals in Human Skin
  • Large Intestine
  • Fallopian Tube
  • Corpus Albicans
  • Corpus Luteum

Archives

  • February 2025
  • June 2023
  • October 2022
  • August 2022
  • April 2021
  • February 2021
  • January 2021
  • December 2020
  • November 2020
  • March 2020
  • February 2020
  • November 2018
  • October 2018
  • September 2018
  • June 2018
  • March 2017
  • February 2017
  • December 2016
  • October 2016
  • September 2016
  • August 2016
  • July 2016
  • April 2016
  • January 2016
Blog at WordPress.com.
  • Subscribe Subscribed
    • Kit Ng, Ph.D.
    • Already have a WordPress.com account? Log in now.
    • Kit Ng, Ph.D.
    • Subscribe Subscribed
    • Sign up
    • Log in
    • Report this content
    • View site in Reader
    • Manage subscriptions
    • Collapse this bar