Skip to content

Kit Ng, Ph.D.

Anatomy & Physiology Professor

  • Education
  • Publications
  • Classes Taught
  • Presentations
  • Miscellaneous
  • Contact
  • CV, Syllabi, Slides
  • Microscope Images
  • Anatomical Models
  • Summary Diagrams
  • Teaching Reflection
  • Birdwatching
  • Stargazing

Category: Images

ImagesLeave a comment

Gout Crystals in Human Skin

February 22, 2025 Kit Ng

The gout crystals, formed from uric acid, can be seen under human skin in this specimen. Second field showing gout crystals from the same human specimen. (TM: 100x, picture taken with a Zeiss 10x Planapo on a Sony A7ii) Continue reading Gout Crystals in Human Skin

ImagesLeave a comment

Large Intestine

February 22, 2025 Kit Ng

The large intestine is the penultimate portion of the digestive tract, between the small intestine and the rectum. The muscularis externa layer continues to separate into the circular and the longitudinal layer, with the exception that the longitudinal layer forming … Continue reading Large Intestine

ImagesLeave a comment

Fallopian Tube

February 22, 2025February 22, 2025 Kit Ng

The fallopian tube is also known as the oviduct or the uterine horn. The shape of the lumen changes throughout its path between the fimbriae and the uterus; the parts of the tube are known as the infundibulum, ampulla, and … Continue reading Fallopian Tube

ImagesLeave a comment

Corpus Albicans

February 21, 2025February 22, 2025 Kit Ng

If no implantation occurs or after the placenta is established, the corpus luteum would undergo involution and become a mass of connective tissue known as corpus albicans. Due to the activity of the macrophages, they will eventually become acellular scars, … Continue reading Corpus Albicans

ImagesLeave a comment

Corpus Luteum

February 21, 2025February 22, 2025 Kit Ng

After ovulation, the remaining follicular cells (both theca and granular cells) transform into a temporary endocrine structure called the corpus luteum (yellow body). It produces progesterone that maintains the endometrium for implantation of the blastocyst. This picture shows a corpus … Continue reading Corpus Luteum

ImagesLeave a comment

Human Nasal Septum

February 19, 2025 Kit Ng

Low magnification picture showing the human nasal septum. The hyaline cartilage forming the septum can be seen clearly at this magnification. Continue reading Human Nasal Septum

ImagesLeave a comment

Artery vs. Vein

February 19, 2025 Kit Ng

Low magnification picture showing the differences (and similarities) between an artery and a vein. Continue reading Artery vs. Vein

ImagesLeave a comment

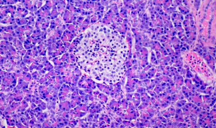
Pancreas

January 12, 2021January 12, 2021 Kit Ng

The pancreas is a retroperitoneal organ located behind the stomach. The organ is organized into lobes. The relationship between the pancreas and other organs can be viewed in the model here. Microscopically the organ has two parts – the endocrine … Continue reading Pancreas

ImagesLeave a comment

Spinal Cord (c.s.) from different regions

December 12, 2020December 19, 2020 Kit Ng

The cross section images of spinal cord from different regions show that the white and gray matter vary. Below are pictures from the 4 regions of the spinal cord. Continue reading Spinal Cord (c.s.) from different regions

ImagesLeave a comment

Overview of the Adaptive Immune Response in the Lymph Nodes

November 18, 2018 Kit Ng

Continue reading Overview of the Adaptive Immune Response in the Lymph Nodes

Posts navigation

Older posts

Recent Posts

  • Gout Crystals in Human Skin
  • Large Intestine
  • Fallopian Tube
  • Corpus Albicans
  • Corpus Luteum

Archives

  • February 2025
  • June 2023
  • October 2022
  • August 2022
  • April 2021
  • February 2021
  • January 2021
  • December 2020
  • November 2020
  • March 2020
  • February 2020
  • November 2018
  • October 2018
  • September 2018
  • June 2018
  • March 2017
  • February 2017
  • December 2016
  • October 2016
  • September 2016
  • August 2016
  • July 2016
  • April 2016
  • January 2016
Blog at WordPress.com.
  • Subscribe Subscribed
    • Kit Ng, Ph.D.
    • Already have a WordPress.com account? Log in now.
    • Kit Ng, Ph.D.
    • Subscribe Subscribed
    • Sign up
    • Log in
    • Report this content
    • View site in Reader
    • Manage subscriptions
    • Collapse this bar
 

Loading Comments...