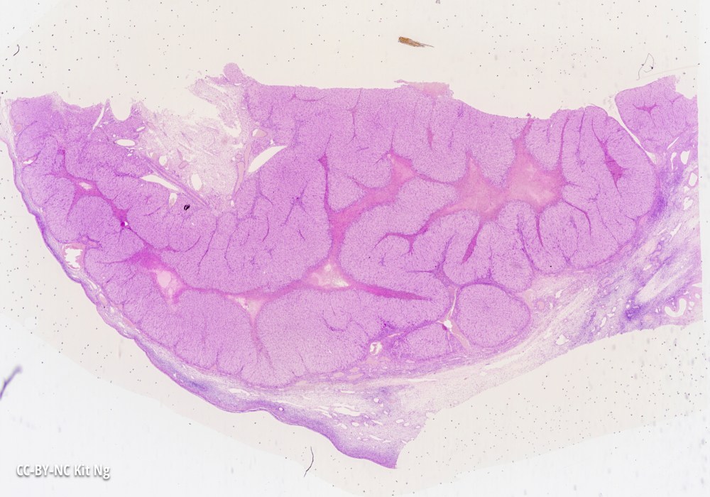
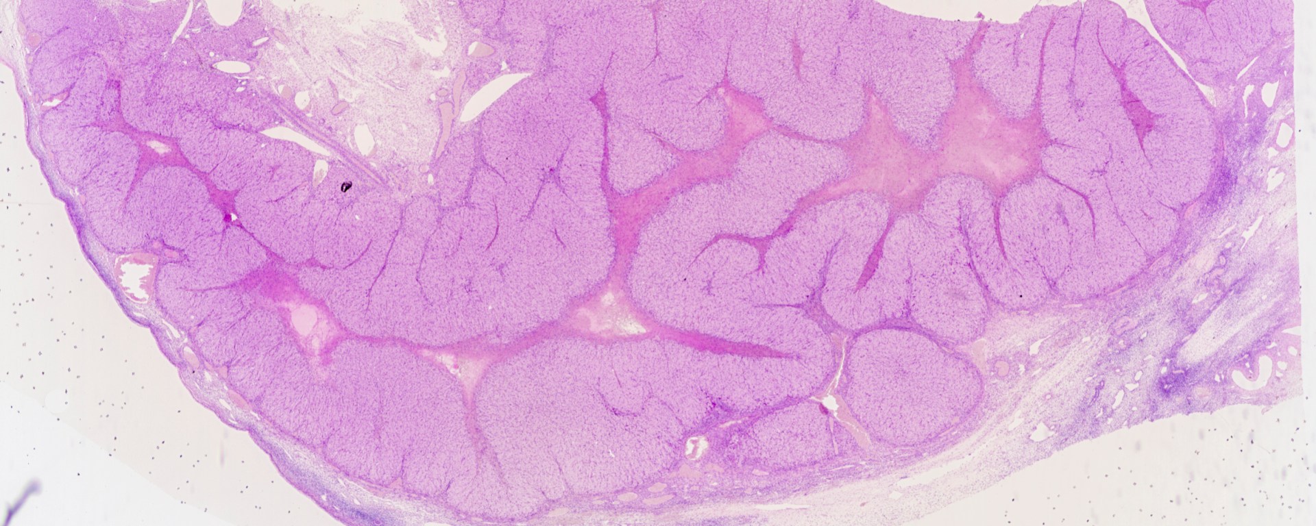
After ovulation, the remaining follicular cells (both theca and granular cells) transform into a temporary endocrine structure called the corpus luteum (yellow body). It produces progesterone that maintains the endometrium for implantation of the blastocyst. This picture shows a corpus luteum that is moving toward degeneration.
