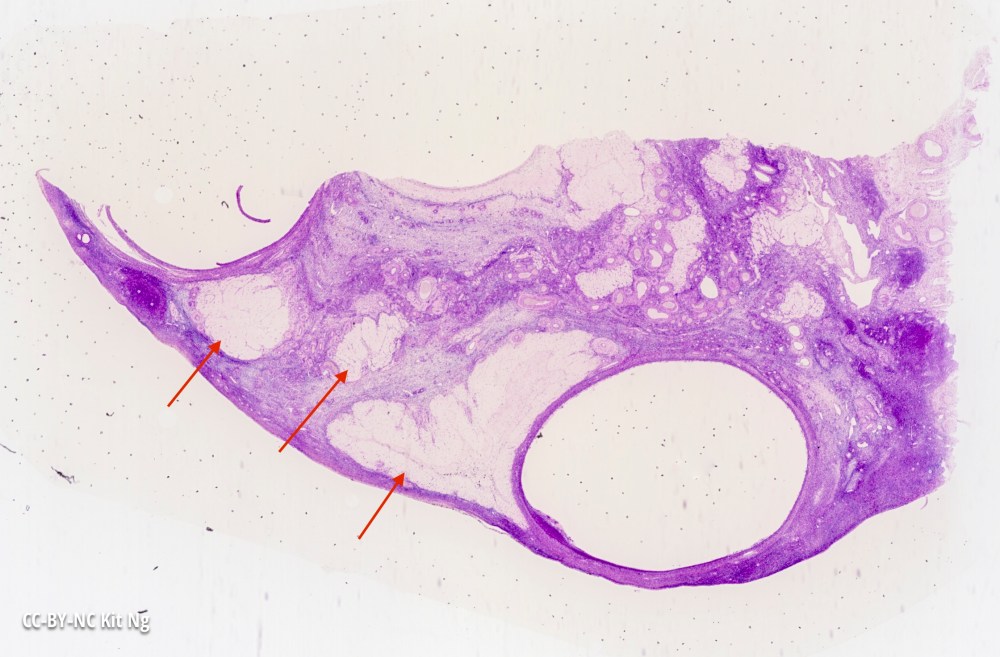
If no implantation occurs or after the placenta is established, the corpus luteum would undergo involution and become a mass of connective tissue known as corpus albicans. Due to the activity of the macrophages, they will eventually become acellular scars, and some will disappear over time. Three of the corpus albicantes are pointed out in this picture. The biggest white-colored structure is an ovarian cyst.
