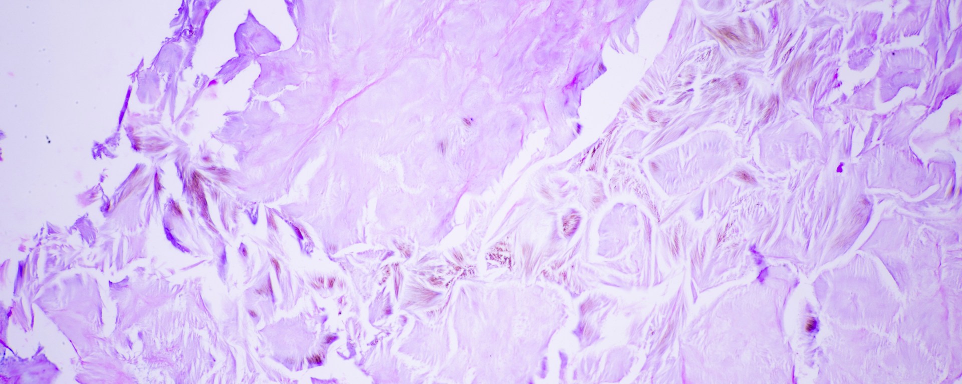
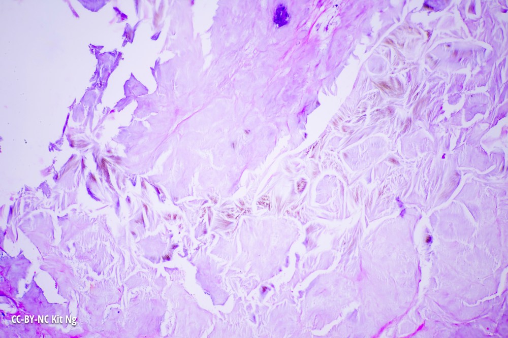
The gout crystals, formed from uric acid, can be seen under human skin in this specimen.


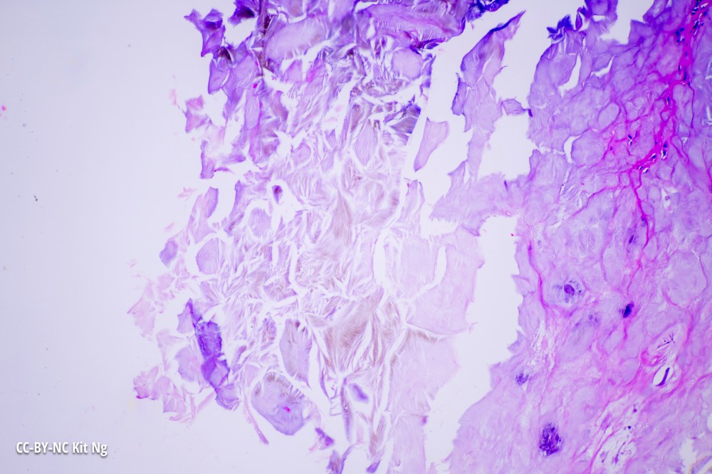
Second field showing gout crystals from the same human specimen. (TM: 100x, picture taken with a Zeiss 10x Planapo on a Sony A7ii)
The gout crystals, formed from uric acid, can be seen under human skin in this specimen.


Second field showing gout crystals from the same human specimen. (TM: 100x, picture taken with a Zeiss 10x Planapo on a Sony A7ii)