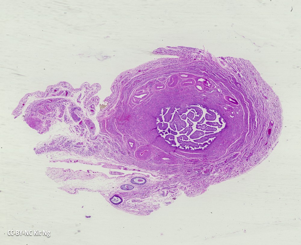
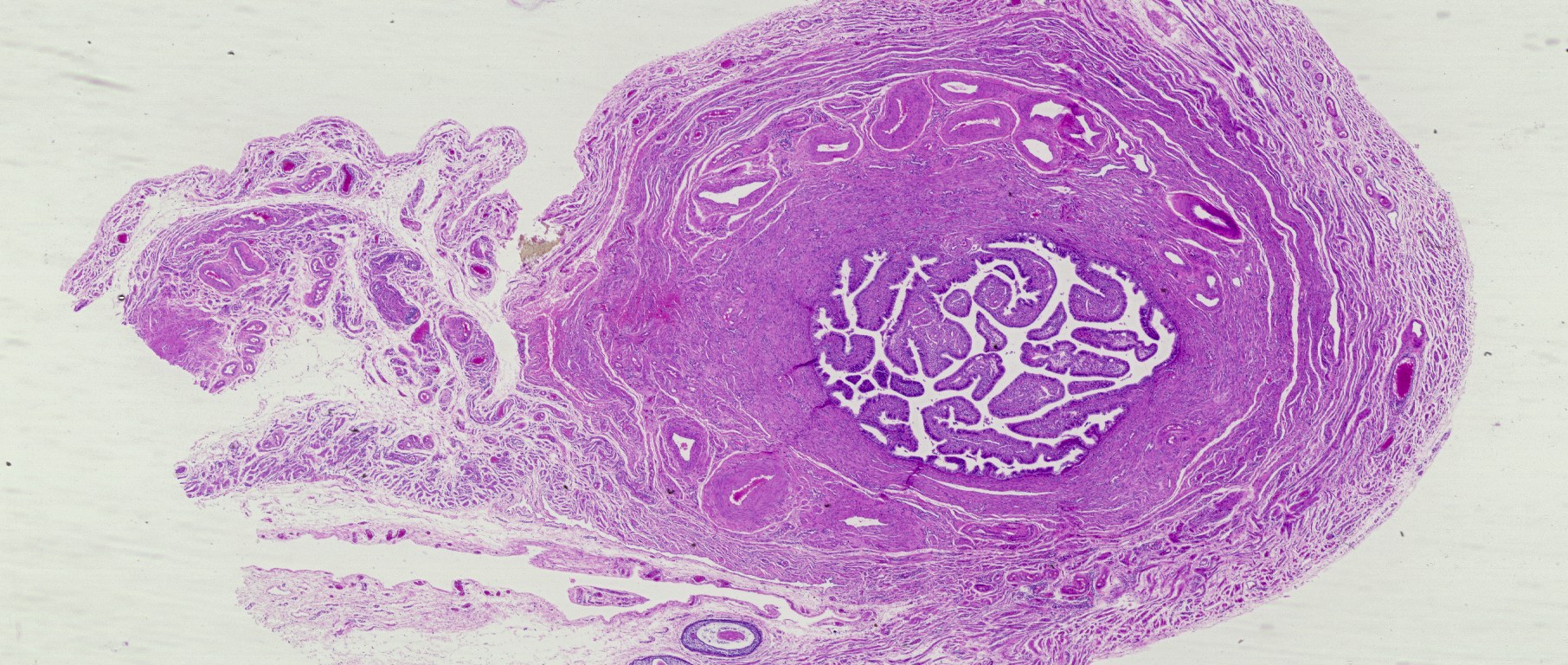
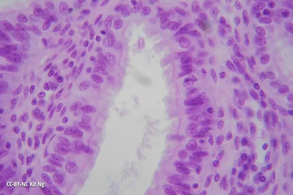
The fallopian tube is also known as the oviduct or the uterine horn. The shape of the lumen changes throughout its path between the fimbriae and the uterus; the parts of the tube are known as the infundibulum, ampulla, and isthmus, respectively. This particular specimen is from the ampulla. The cilia lining the simple columnar epithelium are visible in the second picture. The ciliary sweeping motion and the peristaltic movement of the smooth muscles of the tube help to move the released ovum along the tube.

