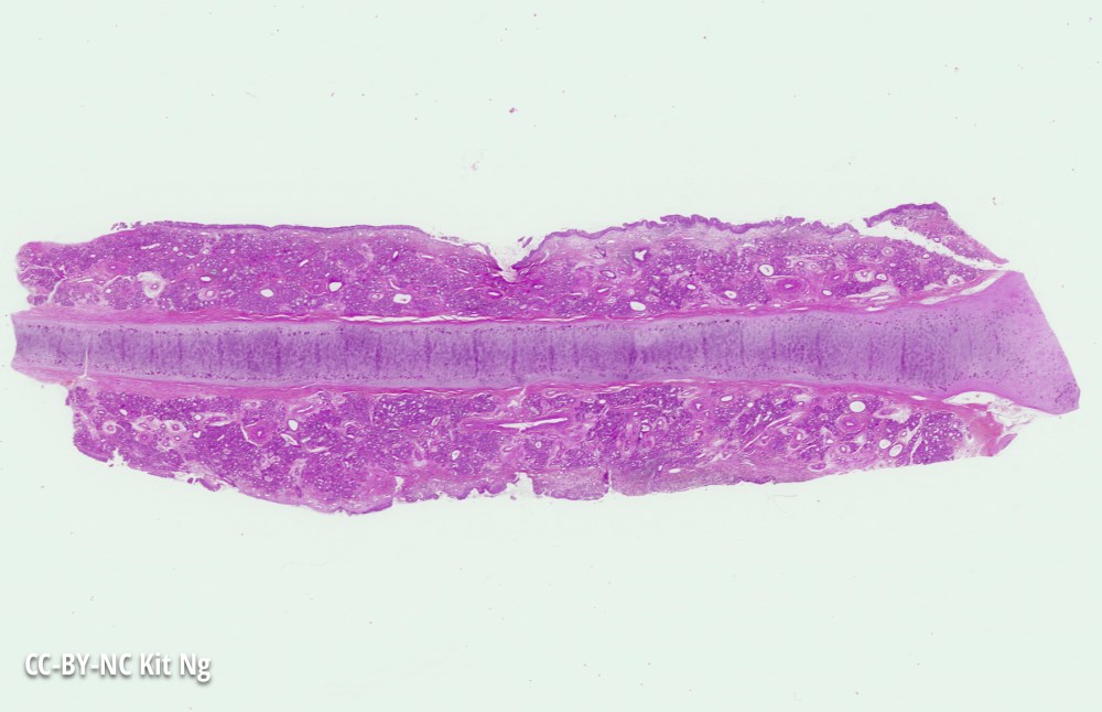
Low magnification picture showing the human nasal septum. The hyaline cartilage forming the septum can be seen clearly at this magnification.

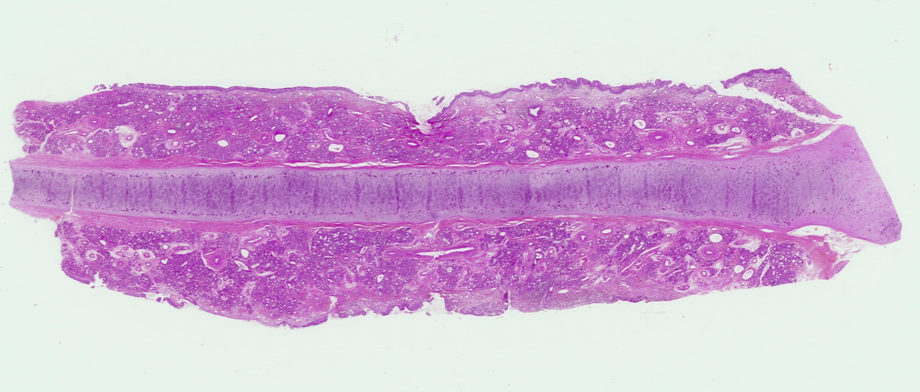
Low magnification picture showing the human nasal septum. The hyaline cartilage forming the septum can be seen clearly at this magnification.
