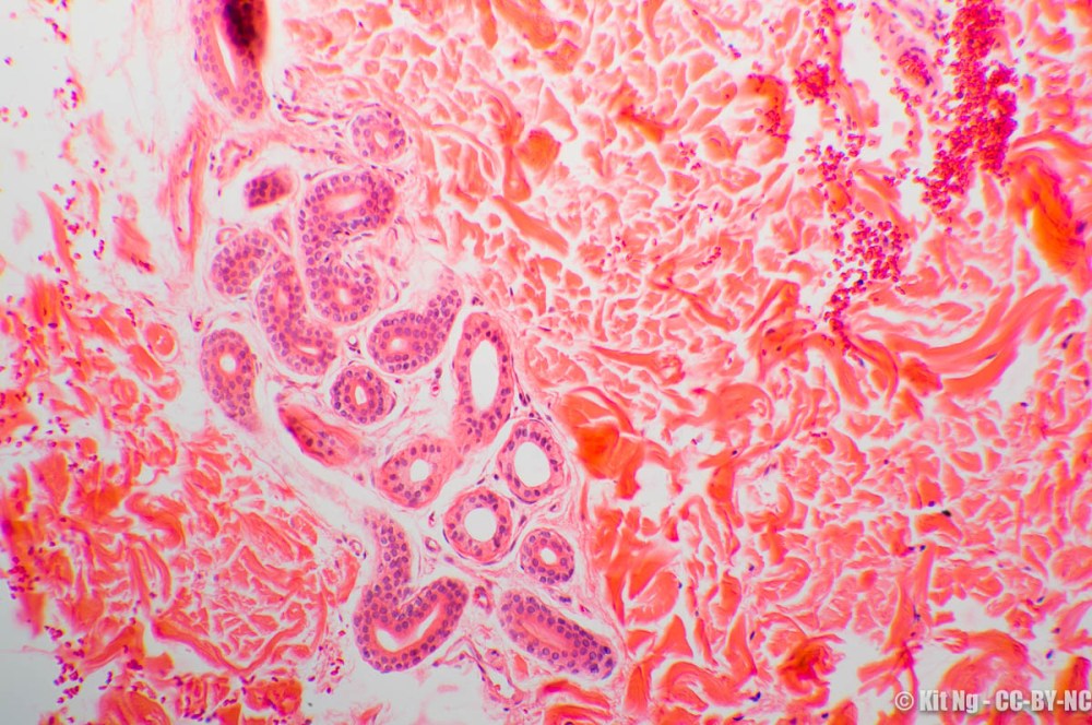
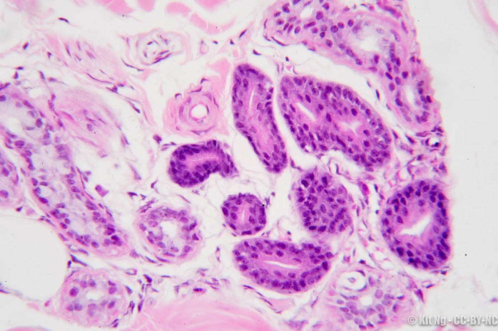
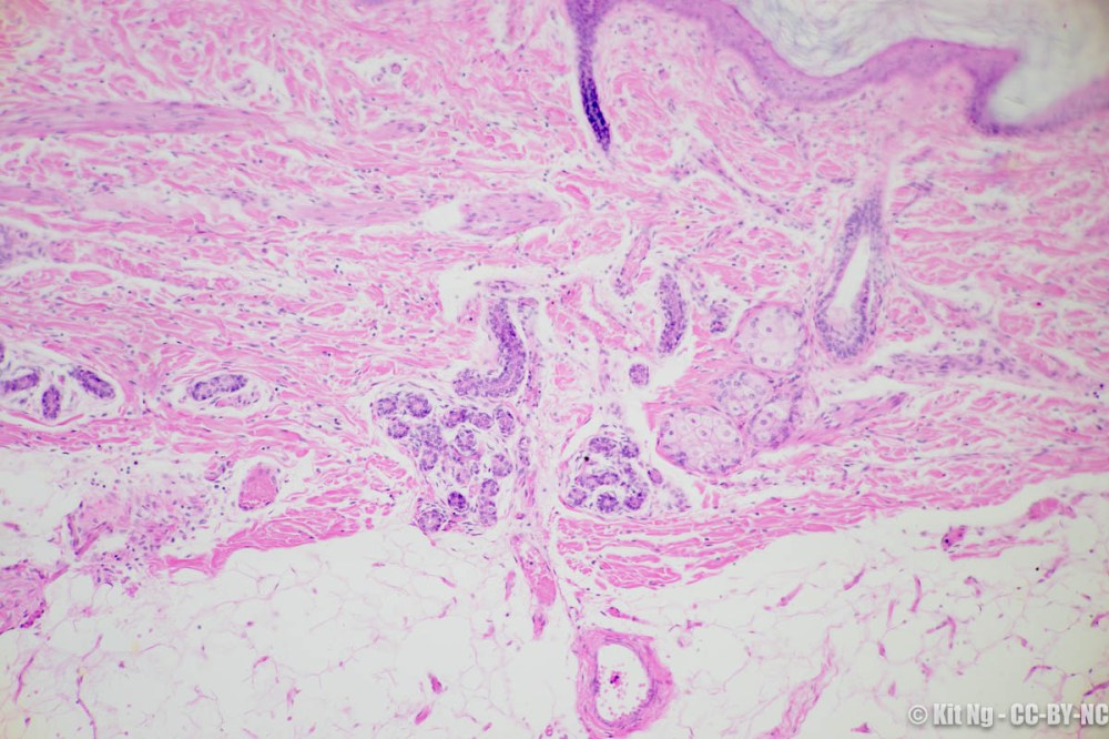
Eccrine sweat glands are the more common type of sweat glands and they can be found everywhere but predominantly on palms and soles. They are composed of both simple and stratified cuboidal epithelial cells. These glands secrete sweat that contains a high quantity of electrolytes and other metabolites.


