Skip to content

Kit Ng, Ph.D.

Anatomy & Physiology Professor

  • Education
  • Publications
  • Classes Taught
  • Presentations
  • Miscellaneous
  • Contact
  • CV, Syllabi, Slides
  • Microscope Images
  • Anatomical Models
  • Summary Diagrams
  • Teaching Reflection
  • Birdwatching
  • Stargazing

Tag: Skin

ImagesLeave a comment

Skin Model

March 9, 2017March 9, 2017 Kit Ng

Below is a typical model of skin.  Key to this figure is below. Key to the model: A – Epidermis B – Reticular dermis C – Hypodermis / subcutaneous fat / superficial fascia D – Arrector pili E – Sebaceous/oil … Continue reading Skin Model

ImagesLeave a comment

Sebaceous/Oil gland

March 9, 2017 Kit Ng

Sebaceous (oil) gland is a type of gland that is found in the dermis and associated with the hair follicle.  It is a type of holocrine secretion, in which cells of the gland degenerate and release the content, known as … Continue reading Sebaceous/Oil gland

ImagesLeave a comment

Eccrine sweat gland

March 9, 2017March 9, 2017 Kit Ng

Eccrine sweat glands are the more common type of sweat glands and they can be found everywhere but predominantly on palms and soles.  They are composed of both simple and stratified cuboidal epithelial cells.  These glands secrete sweat that contains … Continue reading Eccrine sweat gland

ImagesLeave a comment

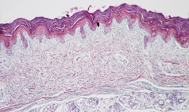
Skin Layers

September 5, 2016March 9, 2017 Kit Ng

There are four layers of what one consider to be skin, from superficial to deep, they are epidermis, dermis, hypodermis, and deep fascia. Epidermis is formed by stratified squamous epithelial tissue, keratinized type: Dermis has two layers: papillary dermis and reticular … Continue reading Skin Layers

ImagesLeave a comment

Scalp, horizontal section

September 5, 2016March 15, 2017 Kit Ng

Horizontal sectioning of scalp, a thin skin, can be used to demonstrate the cross section of hair.   Continue reading Scalp, horizontal section

ImagesLeave a comment

Arrector pili

August 21, 2016September 16, 2016 Kit Ng

Arrector pili is a small, involuntary muscle composed of smooth muscle cell.  It attaches to the hair bulb of the hair follicle and act to pull the hair up during cold or emotional distress, forming the “goose bump” on skin … Continue reading Arrector pili

ImagesLeave a comment

Pacinian Corpuscle

August 14, 2016September 16, 2016 Kit Ng

Pacinian corpusles are structures that can be found in the dermis.  They are the encapsulated end of a sensory neuron that detects vibration and pressure.  The corpuscle resembles a flattened plate. Continue reading Pacinian Corpuscle

ImagesLeave a comment

Stratified Squamous epithelium, Keratinized

August 14, 2016September 3, 2016 Kit Ng

Stratified epithelium is classified by the cell type on the uppermost layer.  Notice that is true for the pictures shown below.  They are typically found in locations where constant abrasion is likely, such as skin.  The epithelium at these locations … Continue reading Stratified Squamous epithelium, Keratinized

ImagesLeave a comment

Dense Irregular Connective Tissue

August 12, 2016August 12, 2016 Kit Ng

Dense irregular CT are collagen fibers arranged irregularly, unlike dense regular CT.  The result is a tissue type that can withstand tension (pulling) in many directions.  One common location where this can be found is in the dermis of skin.  … Continue reading Dense Irregular Connective Tissue

Recent Posts

  • Gout Crystals in Human Skin
  • Large Intestine
  • Fallopian Tube
  • Corpus Albicans
  • Corpus Luteum

Archives

  • February 2025
  • June 2023
  • October 2022
  • August 2022
  • April 2021
  • February 2021
  • January 2021
  • December 2020
  • November 2020
  • March 2020
  • February 2020
  • November 2018
  • October 2018
  • September 2018
  • June 2018
  • March 2017
  • February 2017
  • December 2016
  • October 2016
  • September 2016
  • August 2016
  • July 2016
  • April 2016
  • January 2016
Blog at WordPress.com.
  • Subscribe Subscribed
    • Kit Ng, Ph.D.
    • Already have a WordPress.com account? Log in now.
    • Kit Ng, Ph.D.
    • Subscribe Subscribed
    • Sign up
    • Log in
    • Report this content
    • View site in Reader
    • Manage subscriptions
    • Collapse this bar