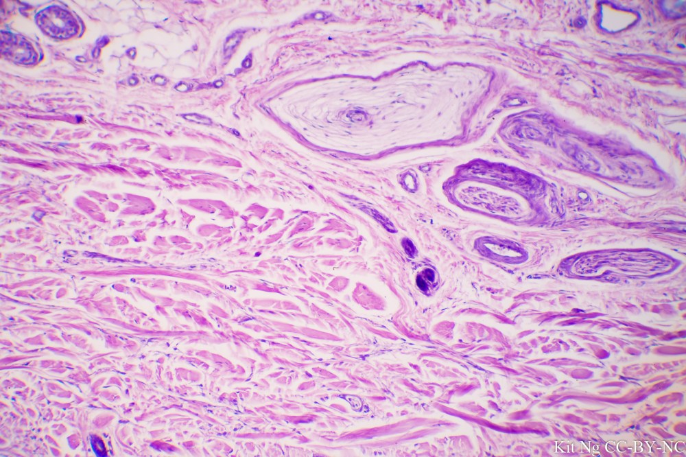
Pacinian corpusles are structures that can be found in the dermis. They are the encapsulated end of a sensory neuron that detects vibration and pressure. The corpuscle resembles a flattened plate.

Pacinian corpusles are structures that can be found in the dermis. They are the encapsulated end of a sensory neuron that detects vibration and pressure. The corpuscle resembles a flattened plate.
