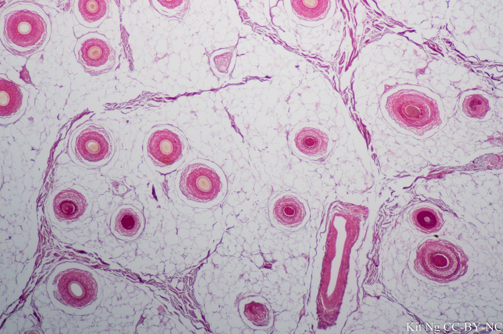
Scalp, horizontal section

Horizontal sectioning of scalp, a thin skin, can be used to demonstrate the cross section of hair.

_DSC3643.JPG
Human Scalp Horizontal section.  (TM: 25x, picture taken with a Zeiss F2.5/0.08 on Sony A7ii)
_DSC3644.JPG
Cross section of hair.  Annotated version here. (TM: 400x, picture taken with a Zeiss F40/0.8 on Sony A7ii)

 

Leave a comment