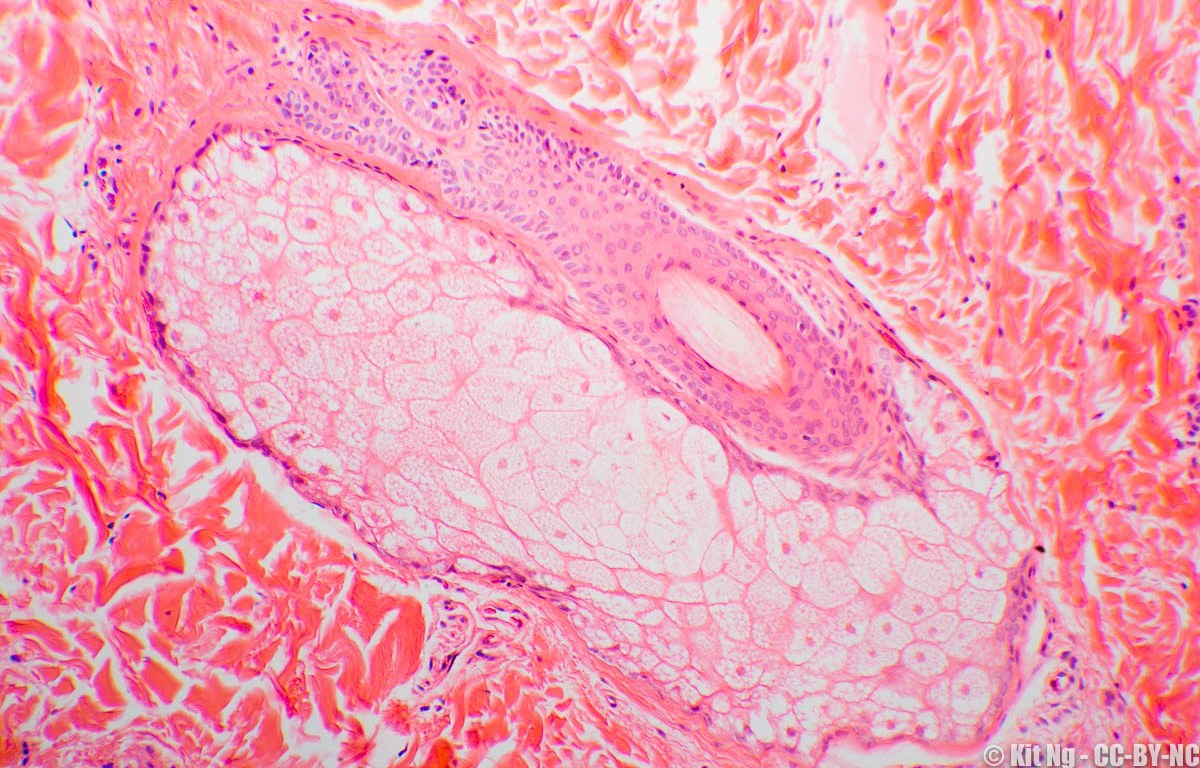
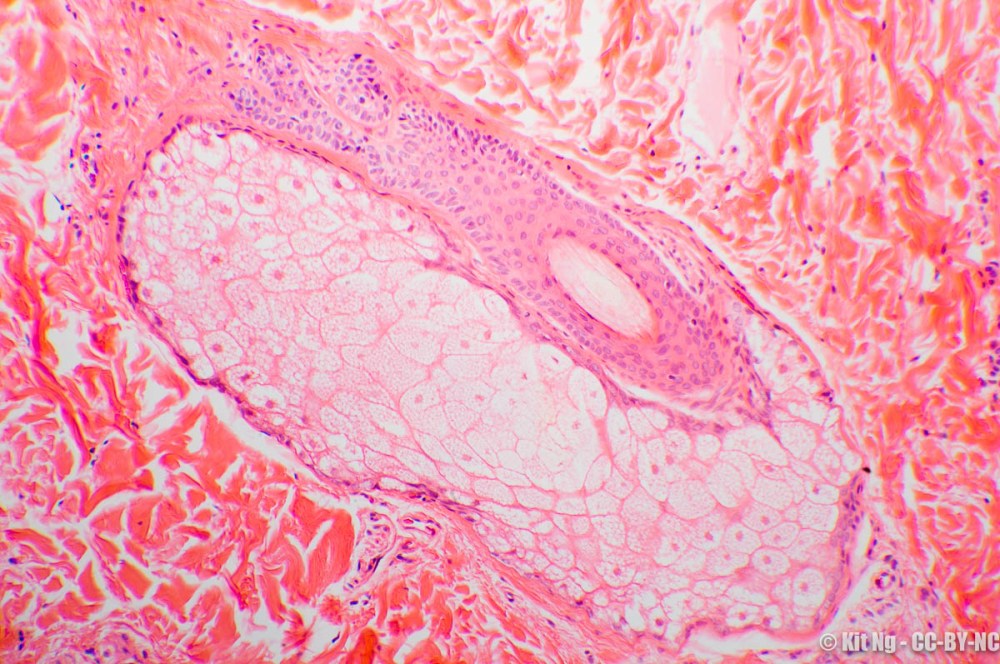
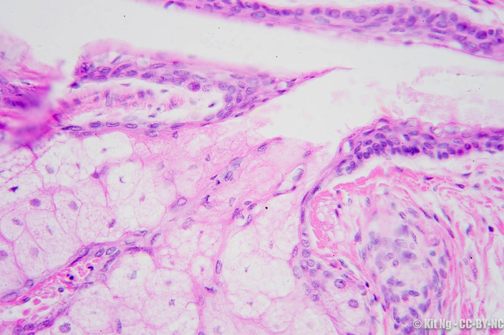
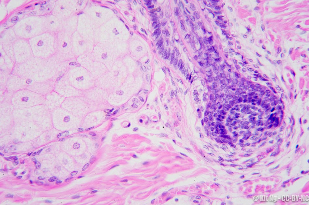
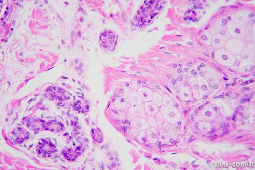
Sebaceous (oil) gland is a type of gland that is found in the dermis and associated with the hair follicle. It is a type of holocrine secretion, in which cells of the gland degenerate and release the content, known as sebum. Sebum are directly secreted onto the hair to maintain its health and structural integrity.




