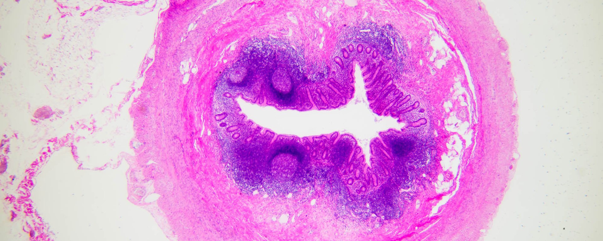
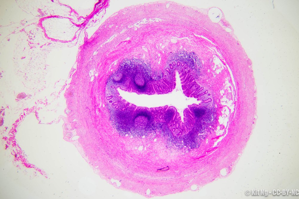
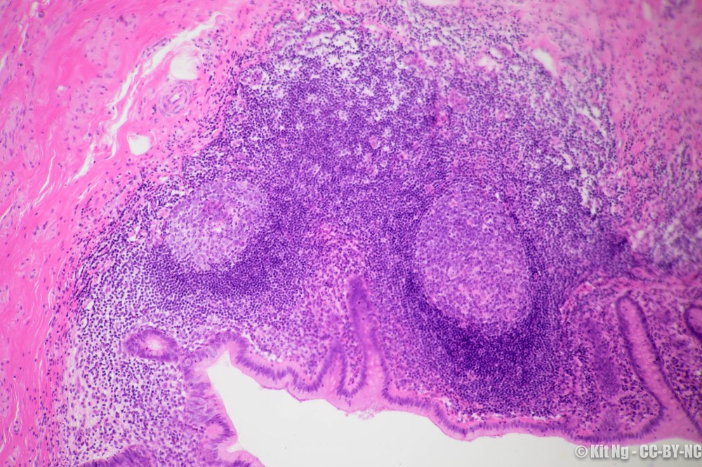
Appendix is a small sac extending from the cecum right off the ileocecal valve. One proposed function of the appendix is that it helps maintain a healthy gut microflora by replenishing the gut with pro-health strains that reside in the appendix.



Appendix is a small sac extending from the cecum right off the ileocecal valve. One proposed function of the appendix is that it helps maintain a healthy gut microflora by replenishing the gut with pro-health strains that reside in the appendix.


