Jejunum and ileum

Jejunum and ileum comprises the distal portion of the small intestine after the duodenum.    Though the basic layers (mucosa, submucosa, muscular is propria and adventia/serosa) remain the same and the mucosa also form villi, there are a few structural changes that set the duodenum and jejunum/ileum apart:

  1. Absence of Brunner’s Gland
  2. Villi becoming progressively shorter
  3. Increasing amount of goblet cells in the epithelium
  4. Mucosa forming circular fold known as plicae circulares
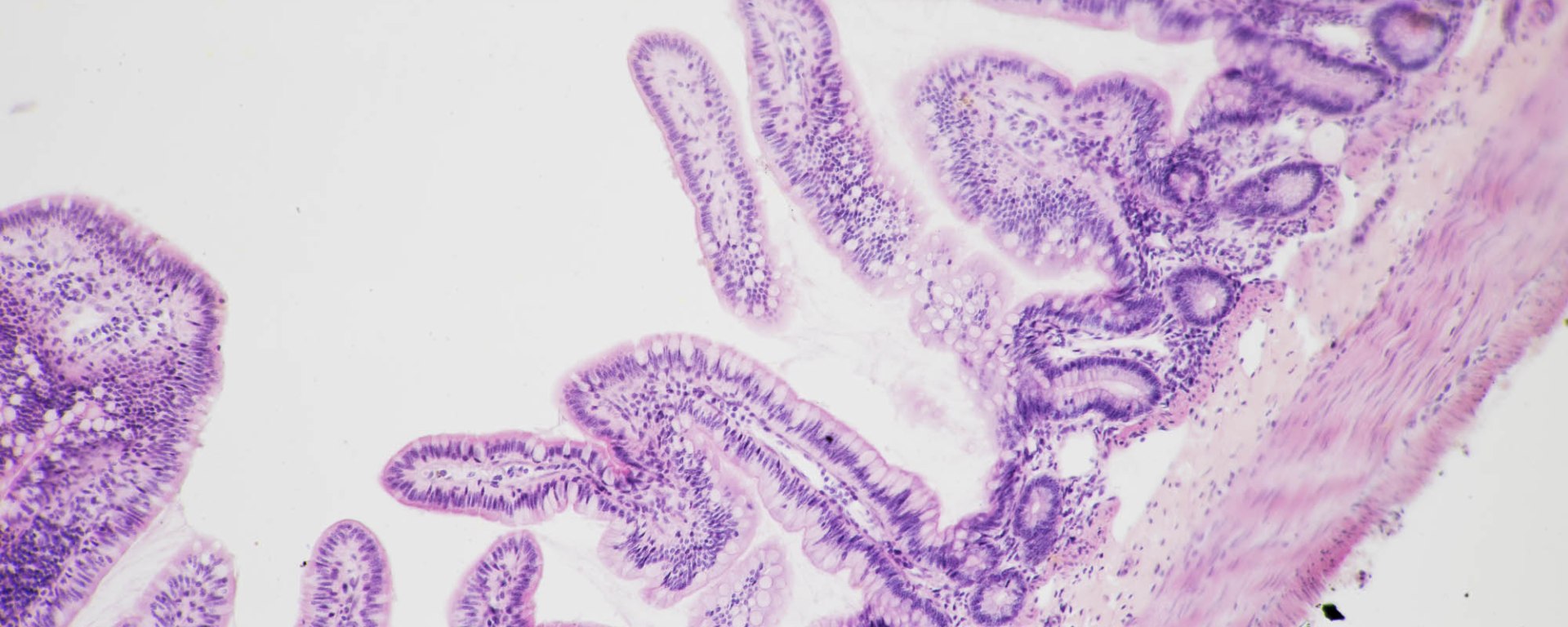
20170211_untitled_dsc6905
Mucosa of the Jejunum, showing the circular fold (plicae circulares) along the length of the villi.  (TM: 100x, picture taken with a Nikon Planapo 10/0.4 on Sony A7ii)
_dsc4927
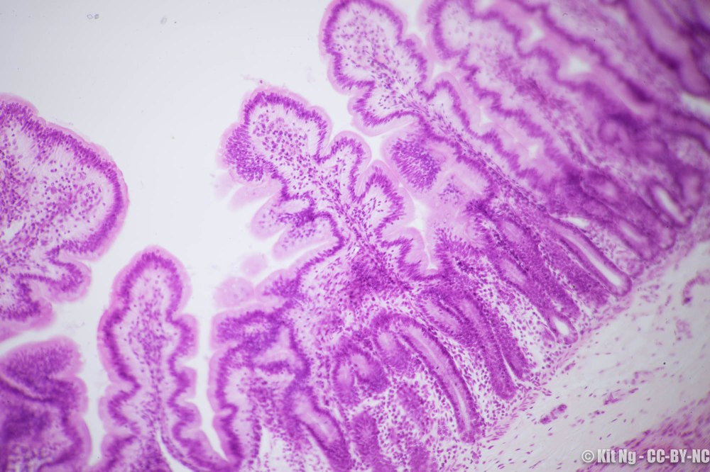
Another specimen of the villi of the Jejunum, showing the circularly arranged fold known as plicae circulares along the villi.  (TM: 400x, picture taken with a Zeiss Planapo 40/1.0 Oil on Sony A7ii)
_dsc4925
Villi of the Ileum.  Notice the presence of numerous goblet cells.  Plicae circulares not prominent in this view.  (TM: 100x, picture taken with a Nikon Planapo 10/0.4 on Sony A7ii)
_dsc4930
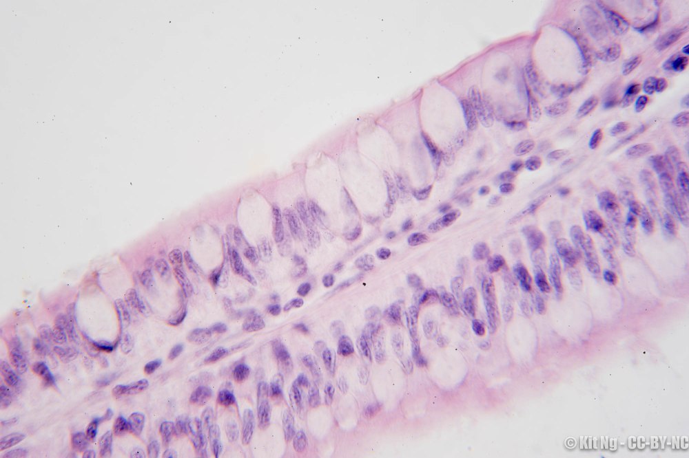
Villi of the Ileum showing the simple columnar epithelium and goblet cells.  (TM: 630x, picture taken with a Zeiss Planapo 63/1.4 Oil on Sony A7ii)
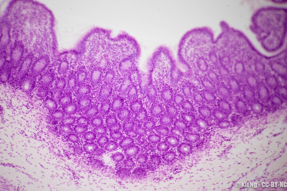
20170211_untitled_dsc6906
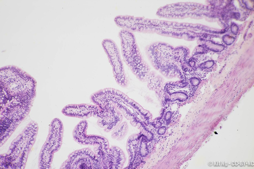
Another specimen of the Ileum showing the shorter villi and the Crypts of Lieberkuhn in the mucosa.  These contain stem cells that regenerate the overlying epithelium.  (TM: 100x, picture taken with Nikon Planapo 10/0.4 on Sony A7ii)
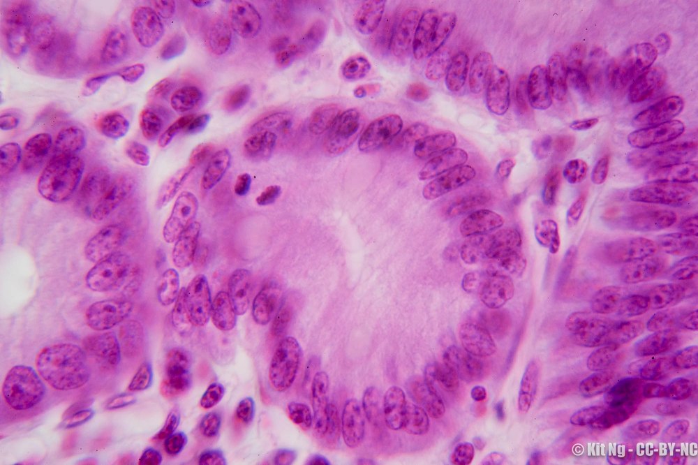
20170211_untitled_dsc6908
Crypt of Lieberkuhn found in Jejunum.  Notice the mitotic cell in the upper left corner of this crypt.  (TM: 1000x, picture taken with a Zeiss Planapo 100/1.3 Oil on Sony A7ii)
20170211_untitled_dsc6907
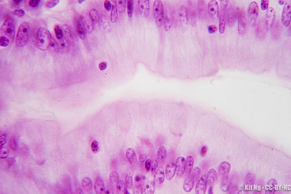
Intraepithelial lymphocytes found in the villi of the Ileum.  (TM: 1000x, picture taken with a Zeiss Planapo 100/1.3 Oil on Sony A7ii)

 

Leave a comment