Skip to content

Kit Ng, Ph.D.

Anatomy & Physiology Professor

  • Education
  • Publications
  • Classes Taught
  • Presentations
  • Miscellaneous
  • Contact
  • CV, Syllabi, Slides
  • Microscope Images
  • Anatomical Models
  • Summary Diagrams
  • Teaching Reflection
  • Birdwatching
  • Stargazing

Tag: Esophagus

ImagesLeave a comment

Trachea

August 5, 2016August 5, 2016 Kit Ng

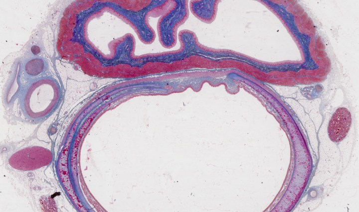
Pictures are of unknown organism but possible from small mammals.  The relationship between the trachea and esophagus can be seen in the third one.  The “C” shape cartilage ring that form most of the trachea and the trachealis muscle at … Continue reading Trachea

Recent Posts

  • Gout Crystals in Human Skin
  • Large Intestine
  • Fallopian Tube
  • Corpus Albicans
  • Corpus Luteum

Archives

  • February 2025
  • June 2023
  • October 2022
  • August 2022
  • April 2021
  • February 2021
  • January 2021
  • December 2020
  • November 2020
  • March 2020
  • February 2020
  • November 2018
  • October 2018
  • September 2018
  • June 2018
  • March 2017
  • February 2017
  • December 2016
  • October 2016
  • September 2016
  • August 2016
  • July 2016
  • April 2016
  • January 2016
Blog at WordPress.com.
  • Subscribe Subscribed
    • Kit Ng, Ph.D.
    • Already have a WordPress.com account? Log in now.
    • Kit Ng, Ph.D.
    • Subscribe Subscribed
    • Sign up
    • Log in
    • Report this content
    • View site in Reader
    • Manage subscriptions
    • Collapse this bar