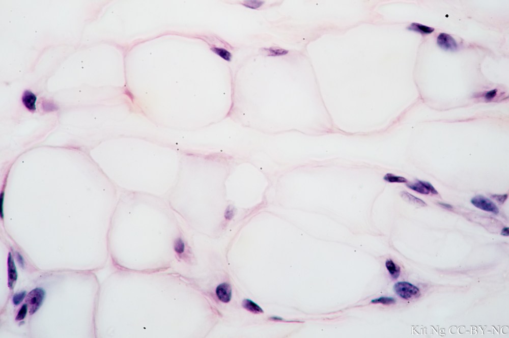
Adipose tissue is composed of adipocytes held together by ground substance and collagen fibers. Its main function is for thermoregulation and protection.
Picture below taken with a Zeiss Standard 16 connected to a Sony A7ii via a phototube.

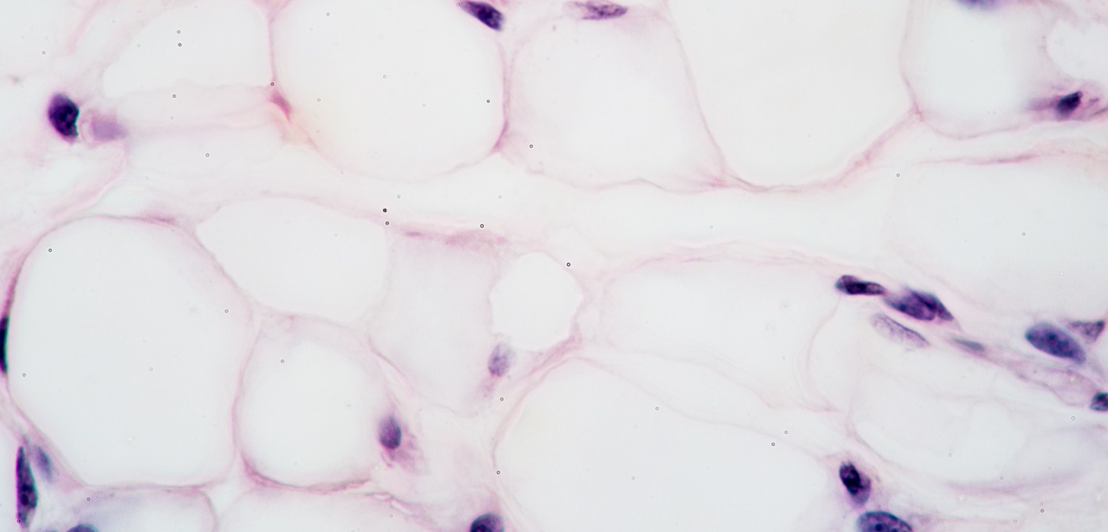
Adipose tissue is composed of adipocytes held together by ground substance and collagen fibers. Its main function is for thermoregulation and protection.
Picture below taken with a Zeiss Standard 16 connected to a Sony A7ii via a phototube.
