Of unknown organism, from personal collection.
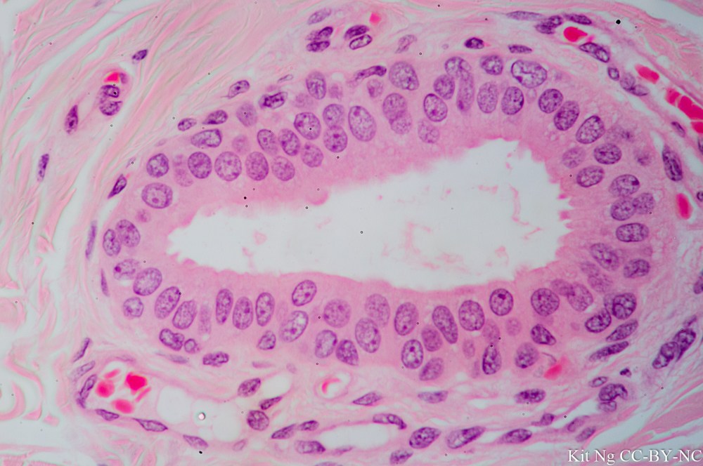
Stratified cuboidal epithelial tissues are more rare comparing to other epithelial types. This picture was taken from salivary gland and the duct showed that the inner most layer, or right around the lumen, contains cuboidal cells but the rest of the layers may or may not be cuboidal in shape.
