Skip to content

Kit Ng, Ph.D.

Anatomy & Physiology Professor

  • Education
  • Publications
  • Classes Taught
  • Presentations
  • Miscellaneous
  • Contact
  • CV, Syllabi, Slides
  • Microscope Images
  • Anatomical Models
  • Summary Diagrams
  • Teaching Reflection
  • Birdwatching
  • Stargazing

Tag: Epithelial Tissue

ImagesLeave a comment

Gastro-esophageal junction

August 21, 2016September 16, 2016 Kit Ng

The connection between the lower esophagus and the stomach cardia is known as the gastro-esophageal junction or esophagogastric junction.  Histologically this is the transition between the stratified squamous epithelium from the esophagus to the simple columnar epithelium of the stomach. Continue reading Gastro-esophageal junction

ImagesLeave a comment

Transitional Epithelium

August 14, 2016August 23, 2016 Kit Ng

This type of epithelium resembles both stratified squamous and stratified cuboidal as the surface layer could change shape.  They are usually found in the urinary tract such as the ureters, urinary bladder and urethra where the organs and tubes need … Continue reading Transitional Epithelium

ImagesLeave a comment

Simple Columnar Epithelium

August 14, 2016September 3, 2016 Kit Ng

Simple columnar epithelium contains cells that are rectangle in shape and have their nuclei arranged on the basal side.  Their nuclei also tend to look oval shape.  This type of epithelium can be found in the digestive tract, uterine tube … Continue reading Simple Columnar Epithelium

ImagesLeave a comment

Pseudostratified Columnar Epithelium

August 14, 2016September 16, 2016 Kit Ng

Pseudostratified columnar epithelium gets its name because while the cells are columnar in shape, their nuclei do not arrange at the bottom (or basal side) of the cell.  Rather the nuclei are arranged in an almost random fashion.  However, they … Continue reading Pseudostratified Columnar Epithelium

ImagesLeave a comment

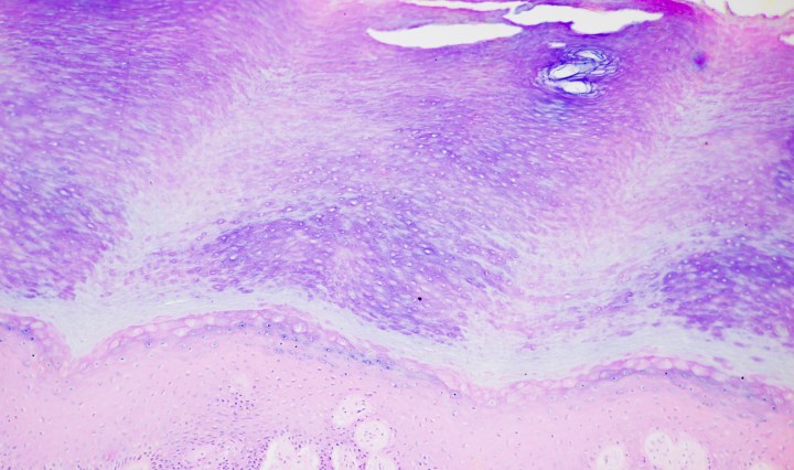
Stratified Squamous epithelium, Keratinized

August 14, 2016September 3, 2016 Kit Ng

Stratified epithelium is classified by the cell type on the uppermost layer.  Notice that is true for the pictures shown below.  They are typically found in locations where constant abrasion is likely, such as skin.  The epithelium at these locations … Continue reading Stratified Squamous epithelium, Keratinized

ImagesLeave a comment

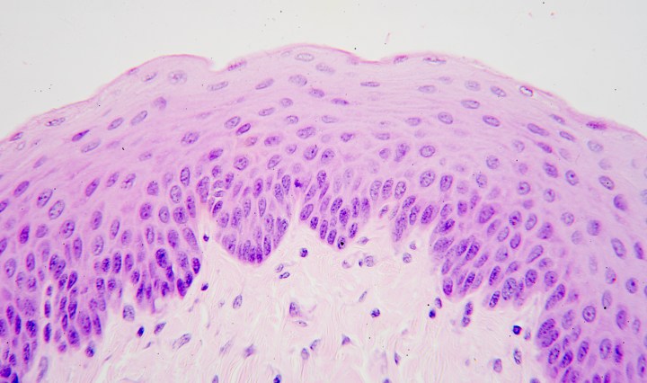
Stratified Squamous Epithelium, non-Keratinized

August 12, 2016August 14, 2016 Kit Ng

Stratified epithelium is classified by the cell type on the uppermost layer.  Notice that is true for the pictures shown below.  They are typically found in locations where constant abrasion is likely, such as mouth, esophagus and vagina.  The epithelium … Continue reading Stratified Squamous Epithelium, non-Keratinized

ImagesLeave a comment

Simple Squamous Epithelium

August 12, 2016March 15, 2017 Kit Ng

Simple squamous epithelium is marked by a single layer of flattened cells.  The nuclei would likewise be flattened.  Because the cell is flattened, its function is for materials to pass through by diffusion or filtration.  They can be found around … Continue reading Simple Squamous Epithelium

ImagesLeave a comment

Simple Cuboidal Epithelium

August 12, 2016September 3, 2016 Kit Ng

Simple cuboidal epithelium is marked by a single layer of square like cells.  The nuclei can be found in the middle of the cell.  This epithelium can be found in the walls of ducts such as the kidney tubules and … Continue reading Simple Cuboidal Epithelium

ImagesLeave a comment

Stratified Cuboidal Epithelium

August 3, 2016August 3, 2016 Kit Ng

Of unknown organism, from personal collection. Stratified cuboidal epithelial tissues are more rare comparing to other epithelial types.  This picture was taken from salivary gland and the duct showed that the inner most layer, or right around the lumen, contains … Continue reading Stratified Cuboidal Epithelium

Recent Posts

  • Gout Crystals in Human Skin
  • Large Intestine
  • Fallopian Tube
  • Corpus Albicans
  • Corpus Luteum

Archives

  • February 2025
  • June 2023
  • October 2022
  • August 2022
  • April 2021
  • February 2021
  • January 2021
  • December 2020
  • November 2020
  • March 2020
  • February 2020
  • November 2018
  • October 2018
  • September 2018
  • June 2018
  • March 2017
  • February 2017
  • December 2016
  • October 2016
  • September 2016
  • August 2016
  • July 2016
  • April 2016
  • January 2016
Blog at WordPress.com.
  • Subscribe Subscribed
    • Kit Ng, Ph.D.
    • Already have a WordPress.com account? Log in now.
    • Kit Ng, Ph.D.
    • Subscribe Subscribed
    • Sign up
    • Log in
    • Report this content
    • View site in Reader
    • Manage subscriptions
    • Collapse this bar