Simple Squamous Epithelium

Simple squamous epithelium is marked by a single layer of flattened cells.  The nuclei would likewise be flattened.  Because the cell is flattened, its function is for materials to pass through by diffusion or filtration.  They can be found around Bowman’s space in the kidney glomeruli, air sacs of lung, lining of blood vessels.

untitled shoot-2959
Air sacs of lung (TM: 400x, picture taken with a Zeiss F40/0.65 on Sony NEX-6)
_DSC8131.jpg
Kidney glomerulus.  Notice the space surrounding the structure in the middle is lined with a layer of flattened (squamous) cell.  (TM: 400x, picture taken with a Zeiss F40/0.65 on Sony NEX-6)
20170305_untitled_DSC7394
Mammalian simple squamous epithelium, t.s.  (TM: 20x, picture taken with an Olympus SPlan FL 2/0.08 on Sony A7ii)
20170305_untitled_DSC7395
Same specimen as above, showing the “floor tile” look of a simple squamous epithelium.  (TM: 100x, picture taken with a Nikon Plan Apo 10/0.4 on Sony A7ii)
_DSC3453
Simple squamous epithelium, t.s.  (TM: 400x, picture taken with a Zeiss F40/0.65 on Sony NEX-6)
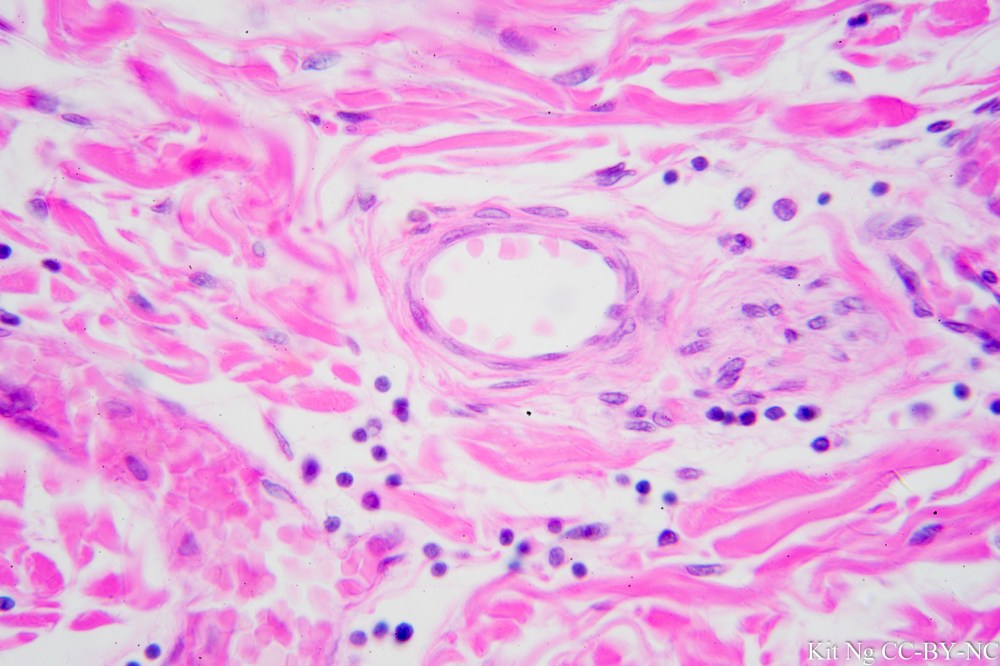
_DSC4944.JPG
Small blood vessel in the Dermis.  Notice the flattened cells that make up the lumen.  Annotated version here. (TM: 630x, picture taken with a Zeiss Planapo 63/1.4 Oil on Sony A7ii)

Leave a comment