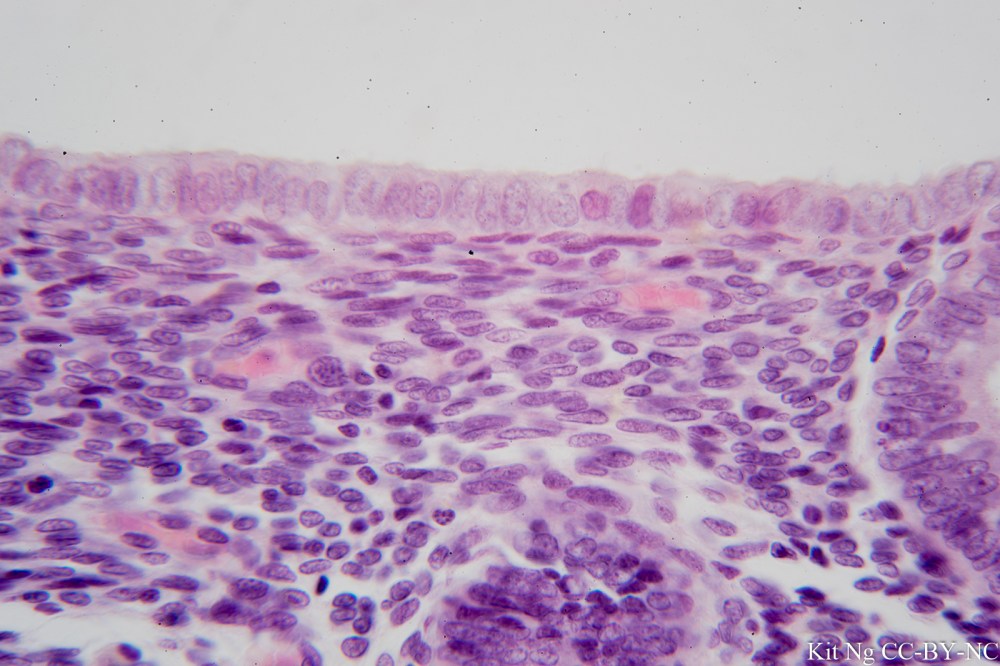
Simple columnar epithelium contains cells that are rectangle in shape and have their nuclei arranged on the basal side. Their nuclei also tend to look oval shape. This type of epithelium can be found in the digestive tract, uterine tube and central canal of the spinal cord.
In the digestive tract, structures called microvilli (or Brush border) could be found on the apical side of the epithelium. These structures increase the surface area for more efficient absorption. Goblet cells that secret mucus could also be found.
In the uterine tube, cilia could be found on the apical side. Their function is to propel the egg cell towards the uterus, failure of which could lead to ectopic or tubal pregnancy.




