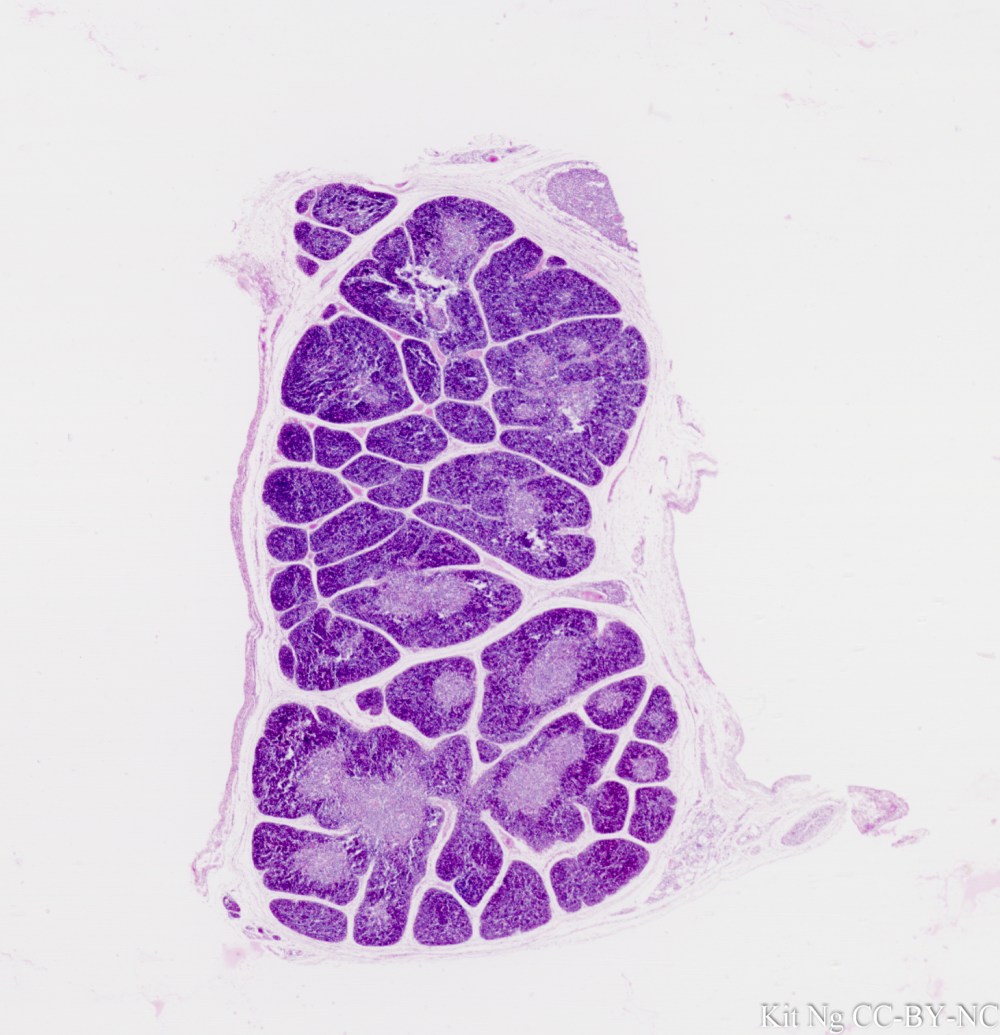
Thymus is an important lymphoid organ especially in the neonatal and pre-adolescent periods. Its function is to mature the T-lymphocytes that are part of the adaptive immune response. Thymus aplasia can lead to profound immunodeficiency and is one of the symptoms of a congenital disorder known as DiGeorge syndrome in which patients have a deletion within chromosome 22.
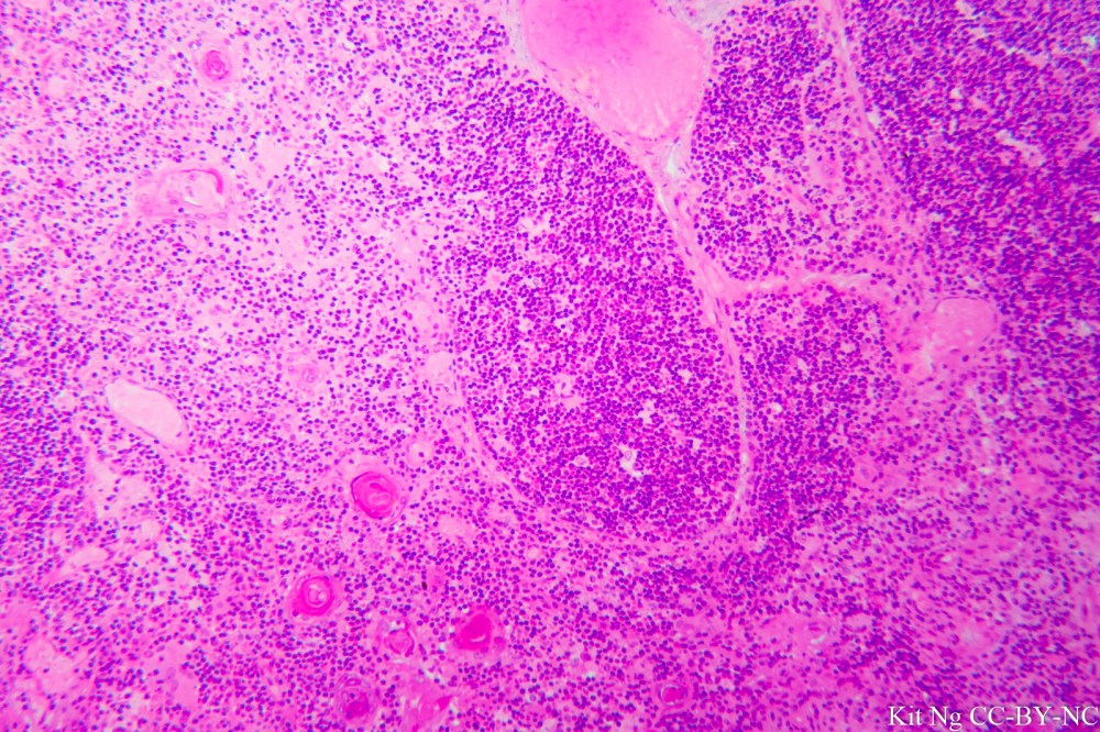
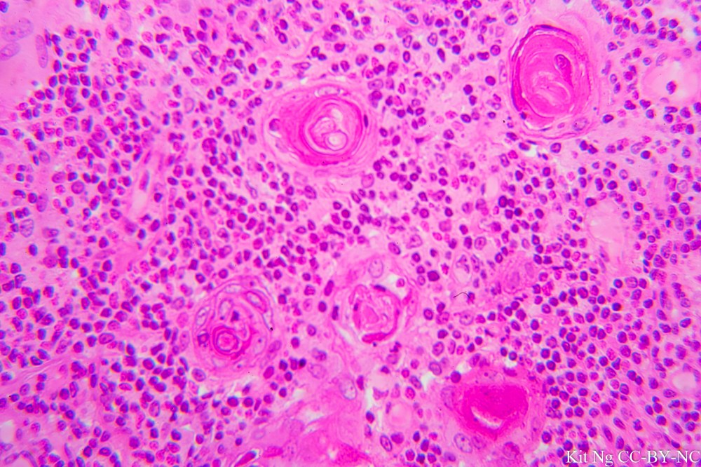
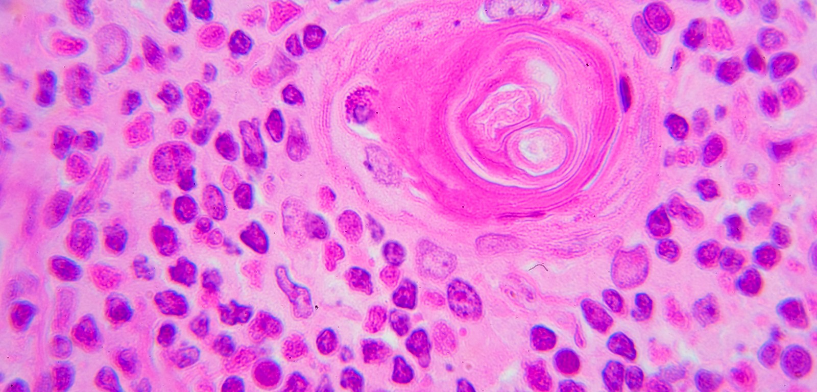
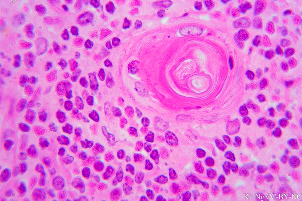
Histologically, each thymus lobule has a cortex (the outside, darker colored portion) and a medulla. In particular, the thymus is distinguished by a structure known as Hassall’s Corpuscle that has an unknown function.



