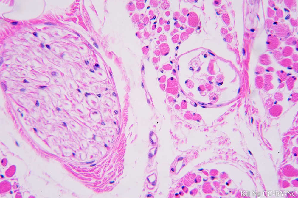
Muscle spindle is a stretch receptor that is found within the belly of a muscle. It monitors how stretched that particular muscle is and initiate the stretch reflex to prevent injury caused by over-stretching and to maintain posture.
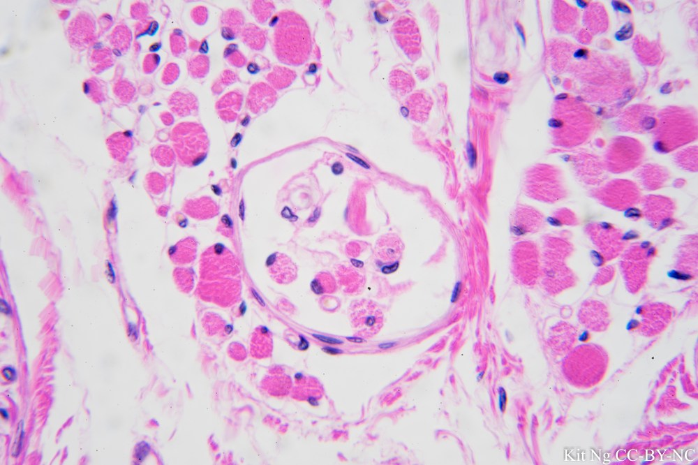
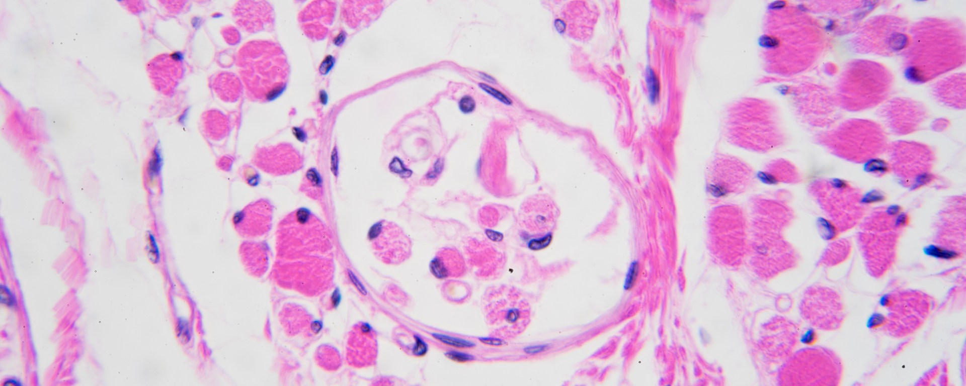
Below is a picture of a muscle in transverse section showing the difference between a peripheral nerve (left) and the muscle spindle (right). The spindle capsule, intrafusal muscle fiber and nerve fiber of gamma motorneurons with the nucleus of Schwann cell could be seen.

