Skip to content

Kit Ng, Ph.D.

Anatomy & Physiology Professor

  • Education
  • Publications
  • Classes Taught
  • Presentations
  • Miscellaneous
  • Contact
  • CV, Syllabi, Slides
  • Microscope Images
  • Anatomical Models
  • Summary Diagrams
  • Teaching Reflection
  • Birdwatching
  • Stargazing

Tag: Muscle

ImagesLeave a comment

Muscle models of the lower limb

March 15, 2017March 15, 2017 Kit Ng

(Last updated: 3-15-2017) Most pictures on this page contain a link in the caption to the annotated version of the same model. Continue reading Muscle models of the lower limb

ImagesLeave a comment

Motor Endplate

August 12, 2016September 4, 2016 Kit Ng

Motor endplate is also known as terminal button.  This is the specialized synapse that an alpha-motorneuron makes to all the muscle fibers (i.e. a motorunit) it innervates.  Acetylcholine is secreted at the synapse that in turn depolarize the muscle fibers … Continue reading Motor Endplate

ImagesLeave a comment

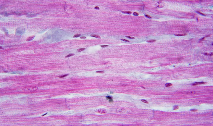
Cardiac Muscle

August 12, 2016September 3, 2016 Kit Ng

Cardiac muscle resembles skeletal muscle in the striations and thus also known as striated muscles.  However, cardiac muscle is different in that cardiac muscle cells (cardiacmyocytes) do not fuse and thus the resulting fibers are not multinucleated.  Each cardiacmyocyte are … Continue reading Cardiac Muscle

ImagesLeave a comment

Skeletal Muscle

August 12, 2016September 16, 2016 Kit Ng

Skeletal muscle tissue is easily distinguished by the striation (thus also known as striated muscle).  They are arranged as long cylinders and since fused from development, contain multiple nuclei within each muscle fiber/cell. Continue reading Skeletal Muscle

ImagesLeave a comment

Muscle Spindle

August 11, 2016 Kit Ng

Muscle spindle is a stretch receptor that is found within the belly of a muscle.  It monitors how stretched that particular muscle is and initiate the stretch reflex to prevent injury caused by over-stretching and to maintain posture. Below is … Continue reading Muscle Spindle

ImagesLeave a comment

Smooth Muscle

August 11, 2016February 25, 2017 Kit Ng

Also known as non-striated muscle and can be found within the walls of large blood vessels (including aorta, arteries, arterioles and veins but in different amount), trachea, lower part of esophagus, intestines and arrector pili of skin.  These are involuntary … Continue reading Smooth Muscle

Recent Posts

  • Gout Crystals in Human Skin
  • Large Intestine
  • Fallopian Tube
  • Corpus Albicans
  • Corpus Luteum

Archives

  • February 2025
  • June 2023
  • October 2022
  • August 2022
  • April 2021
  • February 2021
  • January 2021
  • December 2020
  • November 2020
  • March 2020
  • February 2020
  • November 2018
  • October 2018
  • September 2018
  • June 2018
  • March 2017
  • February 2017
  • December 2016
  • October 2016
  • September 2016
  • August 2016
  • July 2016
  • April 2016
  • January 2016
Blog at WordPress.com.
  • Subscribe Subscribed
    • Kit Ng, Ph.D.
    • Already have a WordPress.com account? Log in now.
    • Kit Ng, Ph.D.
    • Subscribe Subscribed
    • Sign up
    • Log in
    • Report this content
    • View site in Reader
    • Manage subscriptions
    • Collapse this bar