Bone

Bone tissues support and allow body movements.  It provides mineral storage of calcium and phosphate, and bone marrow assists in the production of blood cells.  It is a tissue composed of cells and the ground substance is mineralized extracellular matrix called osteoid.  Most bones in the body develops by way of endochondral ossification from cartilage.

_DSC4875.JPG
Compact bone (TM: 100x, picture taken with a Nikon Plan Apo 10/0.4 on Sony A7ii)

 

20170305_untitled_DSC7396
Compact bone.  (TM: 400x, picture taken with a Zeiss Planapo 40/1.0 Oil on Leica)

 

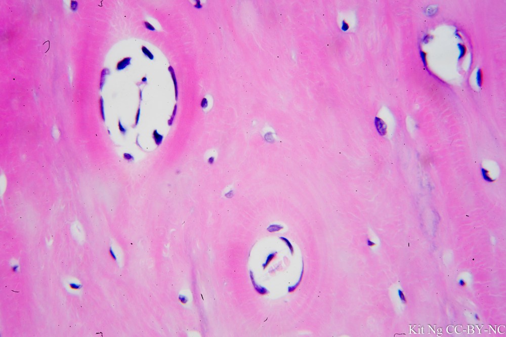
_DSC4876.JPG
Compact bone.  A haversian system or Osteon could be seen on the left side.  (TM: 400x, picture taken with a Zeiss Planapo 40/1.0 Oil on Sony A7ii)
_DSC4877.JPG
Osteon.  The central canal, lacuna with osteocyte and interconnecting canaliculi could be seen.  (TM: 630x, picture taken with a Zeiss Planapo 63/1.4 Oil on Sony A7ii)
_DSC3488.JPG
Decalcified bone.  In this specimen, calcium mineral is removed and showing the underlying collagen fibers.  (TM: 100x, picture taken with an Olympus DPlan 10/0.25 on Sony A7ii)
_DSC4860.JPG
Decalcified bone.  The canaliculi around the central canal can be faintly seen.  (TM: 630x, picture taken with a Zeiss Planapo 63/1.4 Oil on Sony A7ii)

 

Leave a comment