Skip to content

Kit Ng, Ph.D.

Anatomy & Physiology Professor

  • Education
  • Publications
  • Classes Taught
  • Presentations
  • Miscellaneous
  • Contact
  • CV, Syllabi, Slides
  • Microscope Images
  • Anatomical Models
  • Summary Diagrams
  • Teaching Reflection
  • Birdwatching
  • Stargazing

Tag: Connective Tissue

ImagesLeave a comment

Hyaline Cartilage

August 23, 2016 Kit Ng

Hyaline means “glass-like” or “transparent” because of how it looks under the microscope.  It is the most common cartilage and can be found in locations such as trachea, articular surfaces of bones, larynx and nasal septum.  Even though it’s called … Continue reading Hyaline Cartilage

ImagesLeave a comment

Fibrocartilage

August 21, 2016August 29, 2016 Kit Ng

Fibrocartilage is similar to hyaline cartilage but with the addition of thick and dense collagen fibers that are deposited in the extracellular matrix.  It can be found in locations where shock absorption is needed such as intervertebral discs and symphyses … Continue reading Fibrocartilage

ImagesLeave a comment

Elastic Cartilage

August 21, 2016 Kit Ng

Elastic cartilage is similar to cartilage but with the additional elasticity due to the elastic fibers that are deposited in the extracellular matrix.  It can be found in the external ear, external auditory canal, epiglottis and part of the laryngeal … Continue reading Elastic Cartilage

ImagesLeave a comment

Bone

August 20, 2016October 1, 2018 Kit Ng

Bone tissues support and allow body movements.  It provides mineral storage of calcium and phosphate, and bone marrow assists in the production of blood cells.  It is a tissue composed of cells and the ground substance is mineralized extracellular matrix … Continue reading Bone

ImagesLeave a comment

Elastic Connective Tissue

August 12, 2016 Kit Ng

This tissue type contains mostly elastic fibers.  As a result, it lend the structure it forms recoil after stretching.  It can be found in the walls of major arteries such as aorta and of the bronchial tubes. Continue reading Elastic Connective Tissue

ImagesLeave a comment

Dense Irregular Connective Tissue

August 12, 2016August 12, 2016 Kit Ng

Dense irregular CT are collagen fibers arranged irregularly, unlike dense regular CT.  The result is a tissue type that can withstand tension (pulling) in many directions.  One common location where this can be found is in the dermis of skin.  … Continue reading Dense Irregular Connective Tissue

ImagesLeave a comment

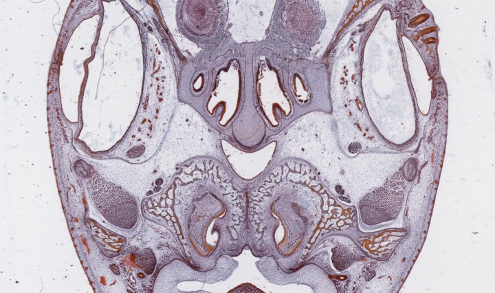
Membranous Bone Development in Fetal Skull

August 7, 2016August 7, 2016 Kit Ng

From SMC collection. Continue reading Membranous Bone Development in Fetal Skull

ImagesLeave a comment

Areolar Tissue

August 7, 2016August 24, 2016 Kit Ng

Areolar tissue is the most common connective tissue in the body.  It is a network of loosely organized collagen, elastic and recticular fibers that are maintained by fibrocytes.  This mesh allows blood vessels, nerve and interstitial fluids to penetrate.  Immune … Continue reading Areolar Tissue

Images1 Comment

Dense Regular Connective Tissue

August 5, 2016September 16, 2016 Kit Ng

Dense regular connective tissue composed of collagen fibers arranging in a parallel fashion and are themselves produced and maintained by fibrocytes.  Because of the arrangement, dense regular CT can resist pulling in the direction parallel to the fibers (tensile strength) … Continue reading Dense Regular Connective Tissue

ImagesLeave a comment

Reticular Fibers

August 5, 2016August 24, 2016 Kit Ng

Reticular fibers is a type of connective tissue normally found in lymphatic organs.  It is composed of Type III collagen that form a network that act as a mesh for cells. Pictures were taken from slides of unknown organism and … Continue reading Reticular Fibers

Recent Posts

  • Gout Crystals in Human Skin
  • Large Intestine
  • Fallopian Tube
  • Corpus Albicans
  • Corpus Luteum

Archives

  • February 2025
  • June 2023
  • October 2022
  • August 2022
  • April 2021
  • February 2021
  • January 2021
  • December 2020
  • November 2020
  • March 2020
  • February 2020
  • November 2018
  • October 2018
  • September 2018
  • June 2018
  • March 2017
  • February 2017
  • December 2016
  • October 2016
  • September 2016
  • August 2016
  • July 2016
  • April 2016
  • January 2016
Blog at WordPress.com.
  • Subscribe Subscribed
    • Kit Ng, Ph.D.
    • Already have a WordPress.com account? Log in now.
    • Kit Ng, Ph.D.
    • Subscribe Subscribed
    • Sign up
    • Log in
    • Report this content
    • View site in Reader
    • Manage subscriptions
    • Collapse this bar