Reticular Fibers

Reticular fibers is a type of connective tissue normally found in lymphatic organs.  It is composed of Type III collagen that form a network that act as a mesh for cells.

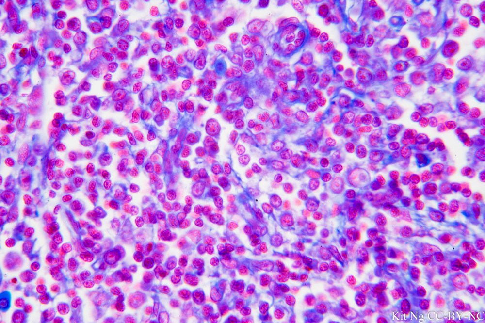
Pictures were taken from slides of unknown organism and stained specially for the reticular fibers.  Silver stain would stain recticular fibers black while Mallory Trichrome would stain them blue (1).

_DSC3448.jpg
Reticular Tissue (TM: 100x, picture taken with an Olympus DPlan 10/0.25 on Sony A7ii)
_DSC8127.jpg
Reticular Tissue (TM: 100x, picture taken with an Olympus DPlan 10/0.25 on Sony NEX6)
_DSC3447.jpg
Reticular Tissue (TM: 400x, picture taken with a Zeiss F40/0.8 on Sony NEX6)
_DSC5031.JPG
Reticular Tissue stained with Mallory Trichrome (TM: 400x, picture taken with a Zeiss Planapo 40/1.0 Oil on Sony A7ii)
_DSC5033.JPG
Reticular Tissue stained with Mallory Trichrome (TM: 630x, picture taken with a Zeiss Planapo 63/1.4 Oil on Sony A7ii)

References:

  1. http://www.bu.edu/histology/m/append02.htm

 

Leave a comment