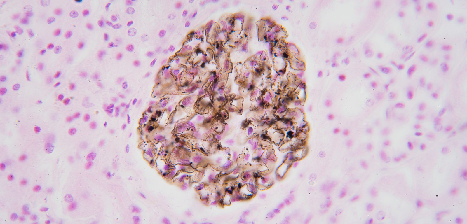
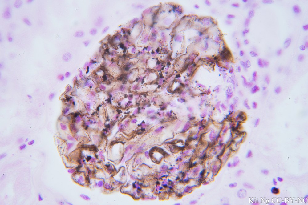
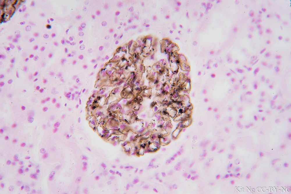
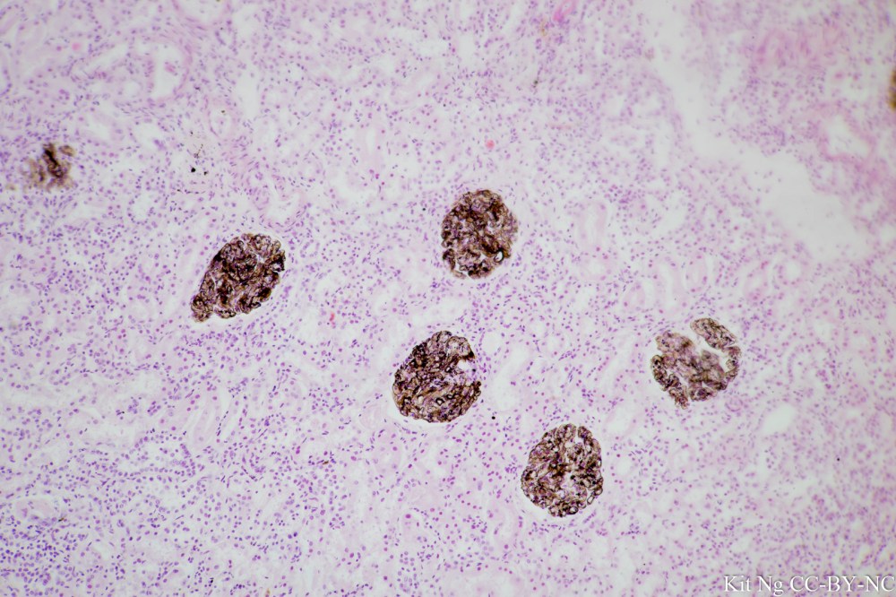
Silver deposits within kidney in Argyria

Argyria is a disease caused by chronic exposure and subsequent accumulation of silver dust within the body.  The silver particles are known to accumulate in the kidney glomerulus and cause sclerosis.  Histologically the glomeruli are stained black.

_DSC5102.JPG
Kidney glomeruli affected by silver particles accumulation.  (TM: 100x, picture taken with a Nikon Plan Apo 10/0.4 on Sony A7ii)
_DSC5103.JPG
Silver-black appearance of the glomerular basement membrane.  (TM: 400x, picture taken with a Zeiss Planapo 40/1.0 Oil on Sony A7ii)
_DSC5104.JPG
Glomerular enlargement and signs of sclerosis.  (TM: 630x, picture taken with a Zeiss 63/1.4 Oil on Sony A7ii)

 

References:

  1. Argyria from Diagnostic Pathology: Kidney Diseases (Google e-Book)

Leave a comment