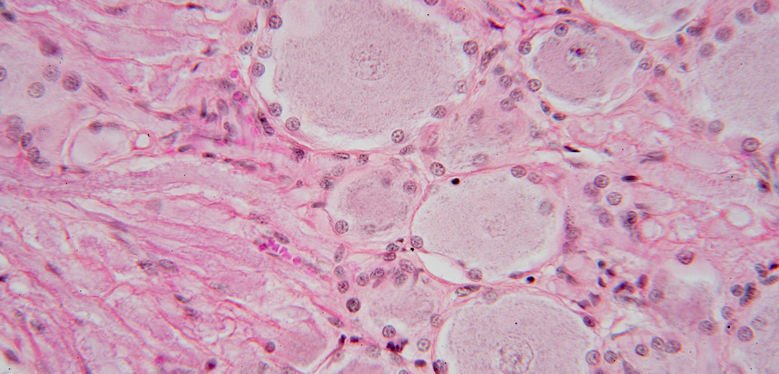
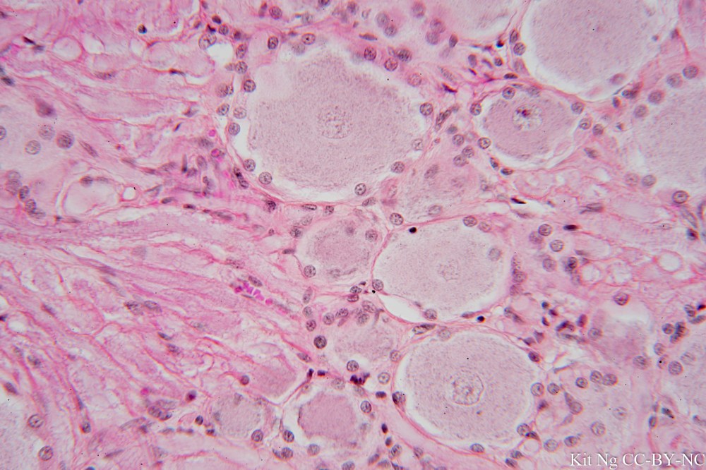
In the peripheral nervous system, cell bodies of neurons are organized as ganglion. An example would be the Dorsal Root Ganglion that is found in the posterior nerve roots of the spinal cord. The neurons found in it are classified as unipolar cells structurally and carry afferent sensory signal. The cell bodies of these neurons are surrounded by satellite cells that are thought to provide structural and metabolic support.


One thought on “Neuron in the Dorsal Root Ganglion”