Glycogen infiltration of kidney in Diabetes mellitus

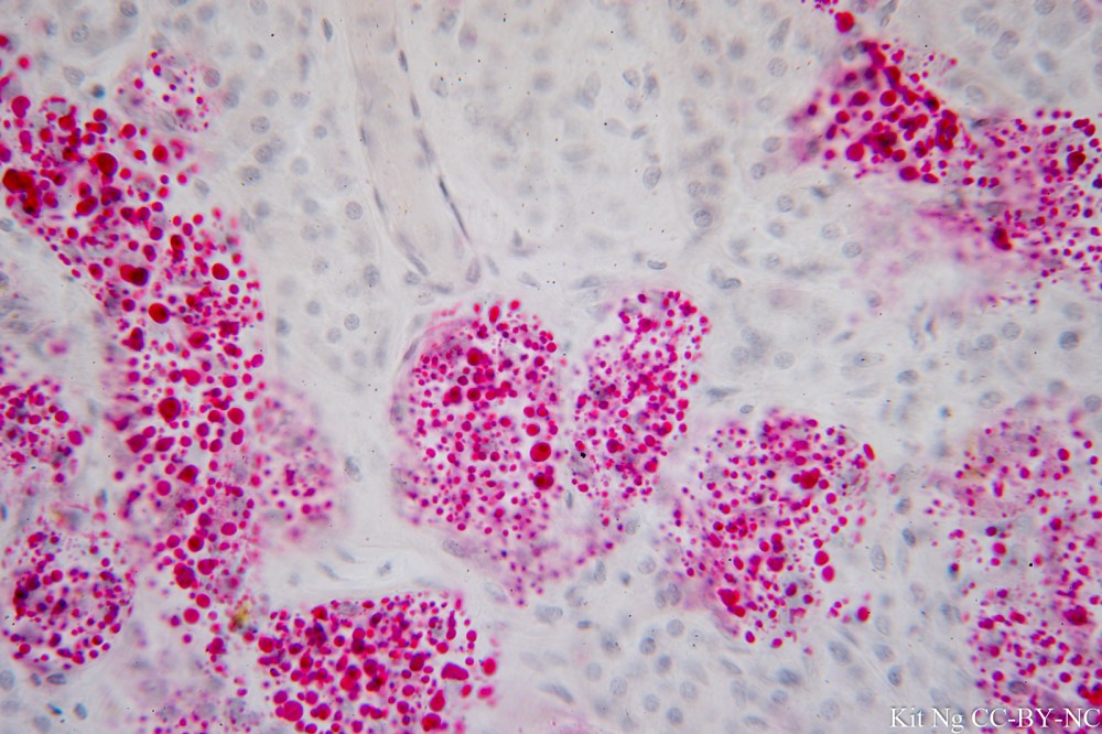
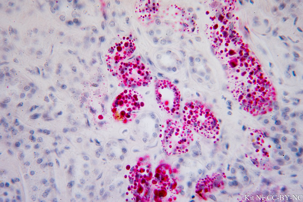
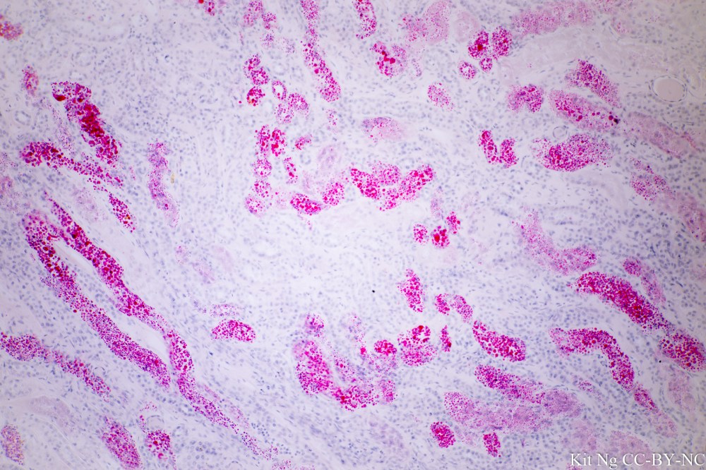
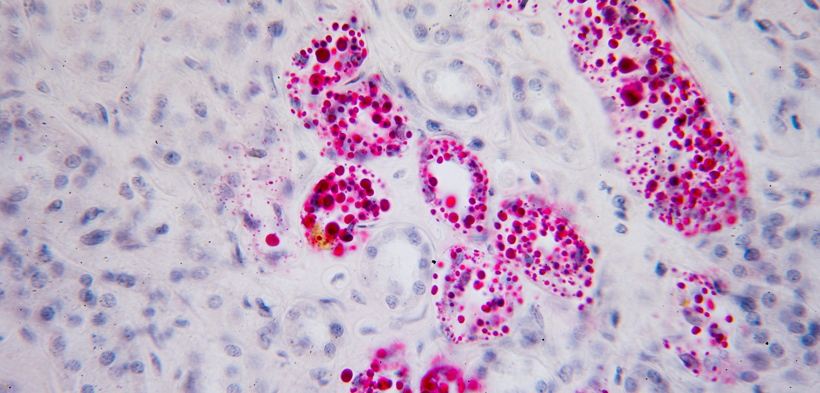
Glycogen infiltration of kidney can be observed in cases of moderate diabetes mellitus.  Using Best’s Carmine stain, glycogen could be detected histologically.  This condition is now known as Armanni-Ebstein nephropathy.

_DSC5091.JPG
Glycogen infiltration of kidney.  (TM: 100x, picture taken with a Nikon Plan Apo 10/0.8 on Sony A7ii)
_DSC5092.JPG
Glycogen infiltration of kidney (view of the tubules).  (TM: 400x, picture taken with a Zeiss Planapo 40/1.0 Oil on Sony A7ii)
_DSC5093.JPG
Glycogen infiltration of kidney (view of the glomeruli).  (TM: 400x, picture taken with a Zeiss Planapo 40/1.0 Oil on Sony A7ii)

References:

  1. Histological changes of kidney in diabetic nephropathy
  2. Glycogenous infiltration from The Principles of General Pathology (Google e-Book)
  3. The Pathology of Armanni-Ebstein Diabetic Nephropathy

 

Leave a comment