Skip to content

Kit Ng, Ph.D.

Anatomy & Physiology Professor

  • Education
  • Publications
  • Classes Taught
  • Presentations
  • Miscellaneous
  • Contact
  • CV, Syllabi, Slides
  • Microscope Images
  • Anatomical Models
  • Summary Diagrams
  • Teaching Reflection
  • Birdwatching
  • Stargazing

Tag: Neuron

Images1 Comment

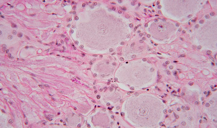
Neuron in the Dorsal Root Ganglion

September 8, 2016September 8, 2016 Kit Ng

In the peripheral nervous system, cell bodies of neurons are organized as ganglion.  An example would be the Dorsal Root Ganglion that is found in the posterior nerve roots of the spinal cord.  The neurons found in it are classified … Continue reading Neuron in the Dorsal Root Ganglion

ImagesLeave a comment

Neuron

September 4, 2016September 16, 2016 Kit Ng

Neurons as a cell type have very diverse structures.  They could be classified by their modalities and morphologies.  Their functions are to conduct messages to and from the Central Nervous System and Peripheral Nervous System, or within each system.\   Continue reading Neuron

Recent Posts

  • Gout Crystals in Human Skin
  • Large Intestine
  • Fallopian Tube
  • Corpus Albicans
  • Corpus Luteum

Archives

  • February 2025
  • June 2023
  • October 2022
  • August 2022
  • April 2021
  • February 2021
  • January 2021
  • December 2020
  • November 2020
  • March 2020
  • February 2020
  • November 2018
  • October 2018
  • September 2018
  • June 2018
  • March 2017
  • February 2017
  • December 2016
  • October 2016
  • September 2016
  • August 2016
  • July 2016
  • April 2016
  • January 2016
Blog at WordPress.com.
  • Subscribe Subscribed
    • Kit Ng, Ph.D.
    • Already have a WordPress.com account? Log in now.
    • Kit Ng, Ph.D.
    • Subscribe Subscribed
    • Sign up
    • Log in
    • Report this content
    • View site in Reader
    • Manage subscriptions
    • Collapse this bar