Niemann-Pick Disease, Spleen

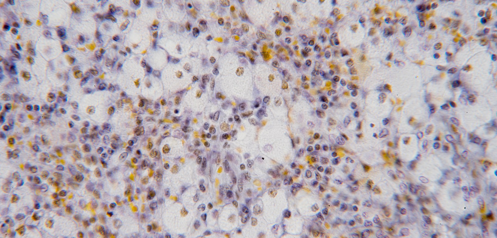
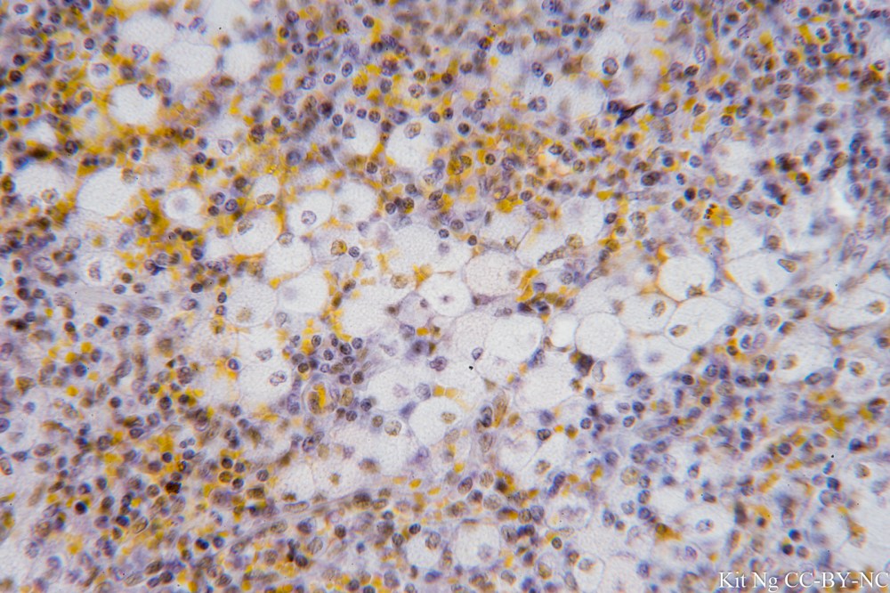
Niemann-Pick disease is an autosomal recessive lysosomal storage and lipid storage disorders in which the patient is not able to produce the enzyme Sphingomyelinase.  This enzyme is involved in degrading sphingomyelin which is a component of cell membrane.  Because of this deficiency, sphingomyelin accumulates in organs such as brain, liver and spleen.  There is no known treatment.

_DSC5088.JPG
Niemann-Pick cells in spleen.  Affected cells resemble adipocytes and are likely to be of the macrophage lineage.  (TM: 400x, picture taken with a Zeiss Planapo 40/1.0 Oil on Sony A7ii)
_DSC5089.JPG
Affected cells in spleen, another view of the same specimen.  (TM: 400x, picture taken with a Zeiss Planapo 40/1.0 Oil on Sony A7ii)

References:

  1. Niemann-Pick disease – Genetics Home Reference

  2. Niemann-Pick disease: MedlinePlus Medical Encyclopedia

  3. Niemann-Pick diseases

Leave a comment