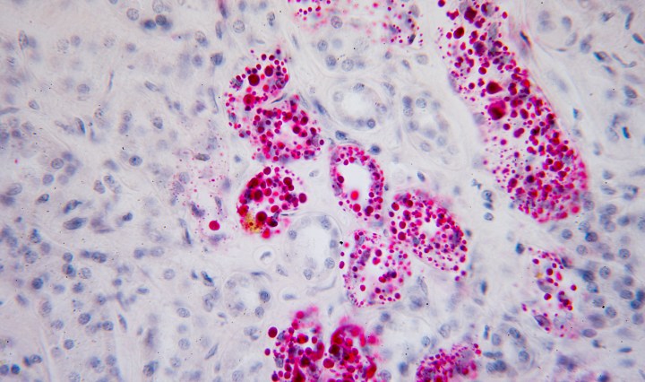
Glycogen infiltration of kidney in Diabetes mellitus

Glycogen infiltration of kidney can be observed in cases of moderate diabetes mellitus.  Using Best’s Carmine stain, glycogen could be detected histologically.  This condition is now known as Armanni-Ebstein nephropathy. References: Histological changes of kidney in diabetic nephropathy Glycogenous infiltration … Continue reading Glycogen infiltration of kidney in Diabetes mellitus